别名:RUNX1; AML1; RUNX2; OSF2; RUNX3; CBFA3应用:WB,IHC,ICC,FCM,IP
反应种属:Human,Mouse,Rat
规格:50μl/100μl
| Description |
|---|
| RUNX2 regulates the transcription of various genes including osteopontin, bone sialoprotein, and osteocalcin via binding to the core site of the enhancers or promoters.RUNX3/AML2 is a member of the Runt family of transcription factors. RUNX3 is important for the suppression of cell proliferation in the gastric epithelium, neurogenesis of the dorsal root ganglia, and T cell differentiation. |
| Specification | |
|---|---|
| Aliases | RUNX1; AML1; RUNX2; OSF2; RUNX3; CBFA3 |
| Entrez GeneID | 860/861/864 |
| Swissprot | Q01196/Q13761/Q13950 |
| WB Predicted band size | Calculated MW: 49 kDa; Observed MW: 49 kDa |
| Host/Isotype | Rabbit IgG |
| Storage | Store at 4°C short term. Aliquot and store at -20°C long term. Avoid freeze/thaw cycles. |
| Species Reactivity | Human,Mouse,Rat |
| Immunogen | A synthesized peptide derived from human RUNX1/RUNX2/RUNX3 |
| Formulation | Rabbit IgG in phosphate buffered saline , pH 7.4, 150mM NaCl, 0.02% sodium azide and 50% glycerol. |
| Application | |
|---|---|
| IP | 1/20 |
| WB | 1/500-1/1000 |
| IHC | 1/50-1/100 |
| ICC | 1/50-1/200 |
| FCM | 1/50-1/100 |
![]() |
Western blot analysis of RUNX1/RUNX2/RUNX3 expression in MCF-7, Hela and Molt4 lysates using RUNX1/RUNX2/RUNX3 antibody |
![]() |
Western blot analysis of RUNX1/RUNX2/RUNX3 in Raji and Jurkat lysates using RUNX1/RUNX2/RUNX3 antibody. |
![]() |
Western blot analysis of RUNX1/RUNX2/RUNX3 in MOLT4 lysates using RUNX antibody. |
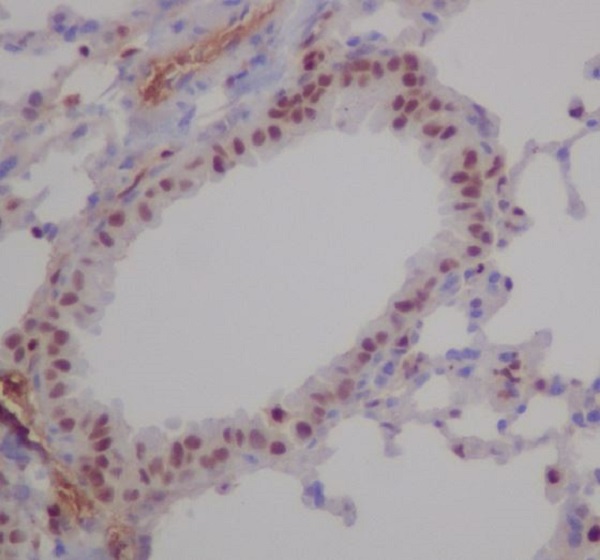
![]() |
Immunohistochemistry analysis of paraffin-embedded mouse lung using RUNX1/RUNX2/RUNX3 antibody.High-pressure and temperature Sodium Citrate pH 6.0 was used for antigen retrieval. |
本公司的所有产品仅用于科学研究或者工业应用等非医疗目的,不可用于人类或动物的临床诊断或治疗,非药用,非食用。
暂无评论
本公司的所有产品仅用于科学研究或者工业应用等非医疗目的,不可用于人类或动物的临床诊断或治疗,非药用,非食用。
中文




发表回复