别名:RVB1; TIH1; ECP54; TIP49; ECP-54; INO80H; NMP238; PONTIN; TIP49A; NMP 238; Pontin52应用:WB,IHC
反应种属:Human, Mouse, Rat
规格:50μl/100μl
| Description |
|---|
| This gene encodes a protein that has both DNA-dependent ATPase and DNA helicase activities and belongs to the ATPases associated with diverse cellular activities (AAA+) protein family. The encoded protein associates with several multisubunit transcriptional complexes and with protein complexes involved in both ATP-dependent remodeling and histone modification. Alternate splicing results in multiple transcript variants. |
| Specification | |
|---|---|
| Aliases | RVB1; TIH1; ECP54; TIP49; ECP-54; INO80H; NMP238; PONTIN; TIP49A; NMP 238; Pontin52 |
| Swissprot | Q9Y265 |
| WB Predicted band size | 50 kDa |
| Host/Isotype | Rabbit IgG |
| Storage | Store at 4°C short term. Aliquot and store at -20°C long term. Avoid freeze/thaw cycles. |
| Species Reactivity | Human, Mouse, Rat |
| Immunogen | Fusion protein of human RUVBL1 |
| Formulation | pH7.4 PBS, 0.05% NaN3, 40% Glycerol |
| Application | |
|---|---|
| WB | 1/1000-1/5000 |
| IHC | 1/50-1/300 |
| ELISA | 1/5000-1/10000 |
![]() |
Gel: 8%SDS-PAGE, Lysate: 40 μg, Lane 1-6: 293T, HepG2, K562, HT29, A549 and Raji cell lysates, Primary antibody: P02742(RUVBL1 Antibody) at dilution 1/2000, Secondary antibody: Goat anti rabbit IgG at 1/8000 dilution, Exposure time: 15 seconds |
![]() |
The image is immunohistochemistry of paraffin-embedded Human thyroid cancer tissue using P02742(RUVBL1 Antibody) at dilution 1/65. (Original magnification: ×200) |
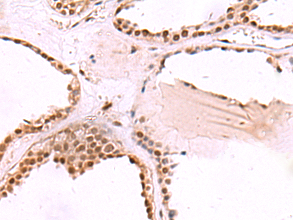
![]() |
The image is immunohistochemistry of paraffin-embedded Human ovarian cancer tissue using P02742(RUVBL1 Antibody) at dilution 1/65. (Original magnification: ×200) |
本公司的所有产品仅用于科学研究或者工业应用等非医疗目的,不可用于人类或动物的临床诊断或治疗,非药用,非食用。
暂无评论
本公司的所有产品仅用于科学研究或者工业应用等非医疗目的,不可用于人类或动物的临床诊断或治疗,非药用,非食用。
中文



发表回复