别名:Adenosylhomocysteinase, AdoHcyase, S-adenosyl-L-homocysteine hydrolase, AHCY, SAHH应用:WB,IHC
反应种属:Human
规格:50μl/100μl
| Description |
|---|
| S-adenosylhomocysteine hydrolase (AHCY) catalyzes the reversible hydrolysis of S-adenosylhomocysteine (AdoHcy) to adenosine (Ado) and L-homocysteine (Hcy). Thus, it regulates the intracellular S-adenosylhomocysteine (SAH) concentration thought to be important for transmethylation reactions. Deficiency in this protein is one of the different causes of hypermethioninemia. S-adenosylhomocysteine hydrolase belongs to the adenosylhomocysteinase family. |
| Specification | |
|---|---|
| Aliases | Adenosylhomocysteinase, AdoHcyase, S-adenosyl-L-homocysteine hydrolase, AHCY, SAHH |
| Entrez GeneID | 191 |
| Swissprot | P23526 |
| WB Predicted band size | 47.7kDa |
| Host/Isotype | Rabbit IgG |
| Storage | Store at 4°C short term. Aliquot and store at -20°C long term. Avoid freeze/thaw cycles. |
| Species Reactivity | Human |
| Immunogen | This S adenosylhomocysteine hydrolase (ACHY) antibody is generated from rabbits immunized with a KLH conjugated synthetic peptide between 407-432 amino acids from the C-terminal region of human S adenosylhomocysteine hydrolase (ACHY). |
| Formulation | Purified polyclonal antibody supplied in PBS with 0.05% sodium azide. This antibody is prepared by Saturated Ammonium Sulfate (SAS) precipitation followed by dialysis against PBS. |
| Application | |
|---|---|
| WB | 1/1000 |
| IHC | 1/100-1/500 |
![]() |
Western blot analysis of anti-AHCY Antibody (C-term)(Cat.#P30268) in HepG2 cell line lysates (35ug/lane). AHCY(arrow) was detected using the purified Pab. |
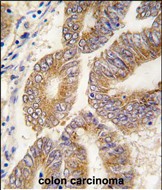
![]() |
Formalin-fixed and paraffin-embedded human colon carcinoma tissue reacted with AHCY antibody (C-term) (Cat.#P30268), which was peroxidase-conjugated to the secondary antibody, followed by DAB staining. This data demonstrates the use of this antibody for immunohistochemistry; clinical relevance has not been evaluated. |
本公司的所有产品仅用于科学研究或者工业应用等非医疗目的,不可用于人类或动物的临床诊断或治疗,非药用,非食用。
暂无评论
本公司的所有产品仅用于科学研究或者工业应用等非医疗目的,不可用于人类或动物的临床诊断或治疗,非药用,非食用。
中文


发表回复