别名:EDG6; LPC1; S1P4; SLP4应用:WB,IHC
反应种属:Human, Mouse
规格:50μl/100μl
| Description |
|---|
| This gene is a member of the endothelial differentiation, G-protein-coupled (EDG)) receptor gene family. EDG receptors bind lysophospholipids or lysosphingolipids as ligands, and are involved in cell signalling in many different cell types. This EDG receptor gene is intronless and is specifically expressed in the lymphoid tissue. Receptor for the lysosphingolipid sphingosine 1-phosphate (S1P). S1P is a bioactive lysophospholipid that elicits diverse physiological effect on most types of cells and tissues. |
| Specification | |
|---|---|
| Aliases | EDG6; LPC1; S1P4; SLP4 |
| Swissprot | O95977 |
| WB Predicted band size | 42 kDa |
| Host/Isotype | Rabbit IgG |
| Storage | Store at 4°C short term. Aliquot and store at -20°C long term. Avoid freeze/thaw cycles. |
| Species Reactivity | Human, Mouse |
| Immunogen | Synthetic peptide of human S1PR4 |
| Formulation | pH7.4 PBS, 0.05% NaN3, 40% Glycerol |
| Application | |
|---|---|
| WB | 1/500-1/2000 |
| IHC | 1/25-1/100 |
| ELISA | 1/2000-1/5000 |
![]() |
Gel: 10%SDS-PAGE, Lysate: 50 μg, Lane: Rat kidney tissue, Primary antibody: P04512(S1PR4 Antibody) at dilution 1/800, Secondary antibody: Goat anti rabbit IgG at 1/8000 dilution, Exposure time: 20 seconds |
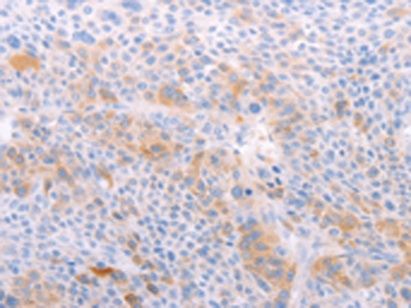
![]() |
The image is immunohistochemistry of paraffin-embedded Human liver cancer tissue using P04512(S1PR4 Antibody) at dilution 1/40. (Original magnification: ×200) |
本公司的所有产品仅用于科学研究或者工业应用等非医疗目的,不可用于人类或动物的临床诊断或治疗,非药用,非食用。
暂无评论
本公司的所有产品仅用于科学研究或者工业应用等非医疗目的,不可用于人类或动物的临床诊断或治疗,非药用,非食用。
中文


发表回复