别名:SA 2; SA-2; SA2; SCC3 homolog 2; SCC3B; stag2; Stromal antigen 2应用:WB,IHC,ICC,FCM
反应种属:Human,Mouse,Rat
规格:50μl/100μl
| Description |
|---|
| Component of cohesin complex, a complex required for the cohesion of sister chromatids after DNA replication. The cohesin complex apparently forms a large proteinaceous ring within which sister chromatids can be trapped. At anaphase, the complex is cleaved and dissociates from chromatin, allowing sister chromatids to segregate. |
| Specification | |
|---|---|
| Aliases | SA 2; SA-2; SA2; SCC3 homolog 2; SCC3B; stag2; Stromal antigen 2 |
| Entrez GeneID | 10735 |
| Swissprot | Q8N3U4 |
| WB Predicted band size | Calculated MW: 141 kDa; Observed MW: 141 kDa |
| Host/Isotype | Rabbit IgG |
| Storage | Store at 4°C short term. Aliquot and store at -20°C long term. Avoid freeze/thaw cycles. |
| Species Reactivity | Human,Mouse,Rat |
| Immunogen | Recombinant protein of human SA2 |
| Formulation | 50mM Tris-Glycine(pH 7.4), 0.15M NaCl, 40% Glycerol, 0.01% Sodium azide and 0.05% BSA |
| Application | |
|---|---|
| WB | 1/500-1/1000 |
| IHC | 1/50-1/100 |
| ICC | 1/50-1/200 |
| FCM | 1/50-1/100 |
![]() |
Western blot analysis of SA2/STAG2 in K562, C6, 3T3, Hela lysates using SA2 antibody. |
![]() |
Immunocytochemistry analysis of SA2(green) in Hela using SA2 antibody,and DAPI(blue) |
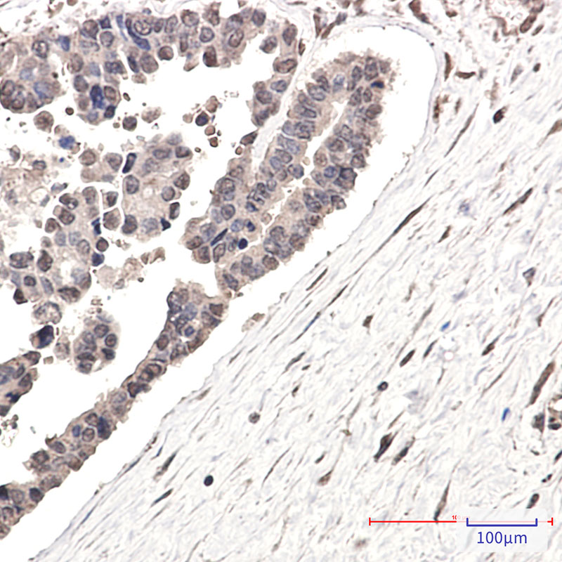
![]() |
Immunohistochemistry analysis of paraffin-embedded Human Cholangiocarcinoma using SA2 antibody. High-pressure and temperature Sodium Citrate pH 6.0 was used for antigen retrieval. |
本公司的所有产品仅用于科学研究或者工业应用等非医疗目的,不可用于人类或动物的临床诊断或治疗,非药用,非食用。
暂无评论
本公司的所有产品仅用于科学研究或者工业应用等非医疗目的,不可用于人类或动物的临床诊断或治疗,非药用,非食用。
中文



发表回复