别名:UEF1; ATXPC; DRIF2; C7orf6应用:WB,IHC
反应种属:Human
规格:50μl/100μl
| Description |
|---|
| This gene encodes a cytoplasmic protein that acts as a tumor suppressor but also plays a key role in cell proliferation and the innate immune response to viral infection. The encoded protein contains an N-terminal sterile alpha motif domain. Naturally occurring mutations in this gene are associated with myeloid disorders such as juvenile myelomonocytic leukemia, acute myeloid leukemia, and myelodysplastic syndrome. Naturally occurring mutations are also associated with hepatitis-B related hepatocellular carcinoma, normophosphatemic familial tumoral calcinosis, and ataxia-pancytopenia syndrome. |
| Specification | |
|---|---|
| Aliases | UEF1; ATXPC; DRIF2; C7orf6 |
| Swissprot | Q8IVG5 |
| WB Predicted band size | 185 kDa |
| Host/Isotype | Rabbit IgG |
| Storage | Store at 4°C short term. Aliquot and store at -20°C long term. Avoid freeze/thaw cycles. |
| Species Reactivity | Human |
| Immunogen | Synthetic peptide of human SAMD9L |
| Formulation | pH7.4 PBS, 0.05% NaN3, 40% Glycerol |
| Application | |
|---|---|
| WB | 1/500-1/2000 |
| IHC | 1/50-1/100 |
| ELISA | 1/5000-1/10000 |
![]() |
Gel: 6%SDS-PAGE, Lysate: 40 μg, Lane: HUVEC cell lysate, Primary antibody: P05247(SAMD9L Antibody) at dilution 1/500, Secondary antibody: Goat anti rabbit IgG at 1/5000 dilution, Exposure time: 90 seconds |
![]() |
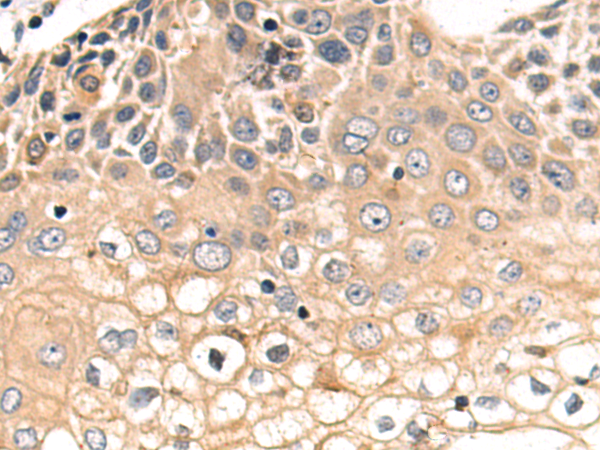
The image is immunohistochemistry of paraffin-embedded Human esophagus cancer tissue using P05247(SAMD9L Antibody) at dilution 1/50. (Original magnification: ×200) |
![]() |
The image is immunohistochemistry of paraffin-embedded Human tonsil tissue using P05247(SAMD9L Antibody) at dilution 1/50. (Original magnification: ×200) |
本公司的所有产品仅用于科学研究或者工业应用等非医疗目的,不可用于人类或动物的临床诊断或治疗,非药用,非食用。
暂无评论
本公司的所有产品仅用于科学研究或者工业应用等非医疗目的,不可用于人类或动物的临床诊断或治疗,非药用,非食用。
中文



发表回复