别名:SLy2; HACS1; NASH1; SASH2; SH3D6B应用:WB,IHC
反应种属:Human, Mouse
规格:50μl/100μl
| Description |
|---|
| SAMSN1 is a member of a novel gene family of putative adaptors and scaffold proteins containing SH3 and SAM (sterile alpha motif) domains (Claudio et al., 2001 [PubMed 11536050]). |
| Specification | |
|---|---|
| Aliases | SLy2; HACS1; NASH1; SASH2; SH3D6B |
| Swissprot | Q9NSI8 |
| WB Predicted band size | 42 kDa |
| Host/Isotype | Rabbit IgG |
| Storage | Store at 4°C short term. Aliquot and store at -20°C long term. Avoid freeze/thaw cycles. |
| Species Reactivity | Human, Mouse |
| Immunogen | Fusion protein of human SAMSN1 |
| Formulation | pH7.4 PBS, 0.05% NaN3, 40% Glycerol |
| Application | |
|---|---|
| WB | 1/1000-1/5000 |
| IHC | 1/50-1/300 |
| ELISA | 1/5000-1/10000 |
![]() |
Gel: 8%SDS-PAGE, Lysate: 40 μg, Lane: Hela cell lysate, Primary antibody: P03124(SAMSN1 Antibody) at dilution 1/800, Secondary antibody: Goat anti rabbit IgG at 1/5000 dilution, Exposure time: 20 seconds |
![]() |
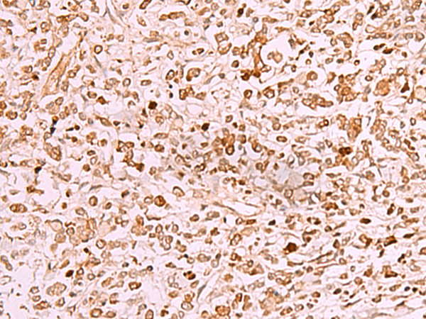
The image is immunohistochemistry of paraffin-embedded Human gastric cancer tissue using P03124(SAMSN1 Antibody) at dilution 1/50. (Original magnification: ×200) |
本公司的所有产品仅用于科学研究或者工业应用等非医疗目的,不可用于人类或动物的临床诊断或治疗,非药用,非食用。
暂无评论
本公司的所有产品仅用于科学研究或者工业应用等非医疗目的,不可用于人类或动物的临床诊断或治疗,非药用,非食用。
中文


发表回复