别名:HTRG; HTRP; HCNGP应用:WB,IHC
反应种属:Human, Mouse
规格:50μl/100μl
| Description |
|---|
| Induces cell death. May act as a transcriptional corepressor of a gene related to cell survival. May be involved in the regulation of beta-2-microglobulin genes. |
| Specification | |
|---|---|
| Aliases | HTRG; HTRP; HCNGP |
| Swissprot | Q9UHR5 |
| WB Predicted band size | 34 kDa |
| Host/Isotype | Rabbit IgG |
| Storage | Store at 4°C short term. Aliquot and store at -20°C long term. Avoid freeze/thaw cycles. |
| Species Reactivity | Human, Mouse |
| Immunogen | Fusion protein of human SAP30BP |
| Formulation | pH7.4 PBS, 0.05% NaN3, 40% Glycerol |
| Application | |
|---|---|
| WB | 1/500-1/2000 |
| IHC | 1/50-1/100 |
| ELISA | 1/5000-1/10000 |
![]() |
Gel: 8%SDS-PAGE, Lysate: 40 μg, Lane: HUVEC cell lysate, Primary antibody: P03362(SAP30BP Antibody) at dilution 1/400, Secondary antibody: Goat anti rabbit IgG at 1/5000 dilution, Exposure time: 1 minute |
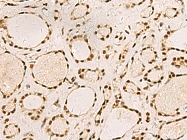
![]() |
The image is immunohistochemistry of paraffin-embedded Human thyroid cancer tissue using P03362(SAP30BP Antibody) at dilution 1/45. (Original magnification: ×200) |
本公司的所有产品仅用于科学研究或者工业应用等非医疗目的,不可用于人类或动物的临床诊断或治疗,非药用,非食用。
暂无评论
本公司的所有产品仅用于科学研究或者工业应用等非医疗目的,不可用于人类或动物的临床诊断或治疗,非药用,非食用。
中文


发表回复