别名:SH3D6A; dJ323M4.1应用:WB,IHC
反应种属:Human, Mouse
规格:50μl/100μl
| Description |
|---|
| This gene encodes a scaffold protein involved in the TLR4 signaling pathway that may stimulate cytokine production and endothelial cell migration in response to invading pathogens. The encoded protein has also been described as a potential tumor suppressor that may negatively regulate proliferation, apoptosis, and invasion of cancer cells, and reduced expression of this gene has been observed in multiple human cancers. Mutations in this gene may be associated with abnormal skin pigmentation in human patients. |
| Specification | |
|---|---|
| Aliases | SH3D6A; dJ323M4.1 |
| Swissprot | O94885 |
| WB Predicted band size | 137 kDa |
| Host/Isotype | Rabbit IgG |
| Storage | Store at 4°C short term. Aliquot and store at -20°C long term. Avoid freeze/thaw cycles. |
| Species Reactivity | Human, Mouse |
| Immunogen | Synthetic peptide of human SASH1 |
| Formulation | pH7.4 PBS, 0.05% NaN3, 40% Glycerol |
| Application | |
|---|---|
| WB | 1/500-1/2000 |
| IHC | 1/30-1/150 |
| ELISA | 1/5000-1/10000 |
![]() |
Gel: 6%SDS-PAGE, Lysate: 40 μg, Lane: Human urinary bladder tissue lysate, Primary antibody: P05249(SASH1 Antibody) at dilution 1/300, Secondary antibody: Goat anti rabbit IgG at 1/8000 dilution, Exposure time: 20 seconds |
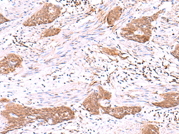
![]() |
The image is immunohistochemistry of paraffin-embedded Human esophagus cancer tissue using P05249(SASH1 Antibody) at dilution 1/30. (Original magnification: ×200) |
本公司的所有产品仅用于科学研究或者工业应用等非医疗目的,不可用于人类或动物的临床诊断或治疗,非药用,非食用。
暂无评论
本公司的所有产品仅用于科学研究或者工业应用等非医疗目的,不可用于人类或动物的临床诊断或治疗,非药用,非食用。
中文


发表回复