别名:CLA1; SRB1; CLA-1; SR-BI; CD36L1; HDLQTL6; Scavenging Receptor SR-BI应用:WB,IHC,ICC,FCM
反应种属:Human,Mouse,Rat
规格:50μl/100μl
| Description |
|---|
| Receptor for different ligands such as phospholipids, cholesterol ester, lipoproteins, phosphatidylserine and apoptotic cells. Probable receptor for HDL, located in particular region of the plasma membrane, called caveolae. Facilitates the flux of free and esterified cholesterol between the cell surface and extracellular donors and acceptors, such as HDL and to a lesser extent, apoB-containing lipoproteins and modified lipoproteins. |
| Specification | |
|---|---|
| Aliases | CLA1; SRB1; CLA-1; SR-BI; CD36L1; HDLQTL6; Scavenging Receptor SR-BI |
| Entrez GeneID | 949 |
| Swissprot | Q8WTV0 |
| WB Predicted band size | Calculated MW: 61 kDa; Observed MW: 80 kDa |
| Host/Isotype | Rabbit IgG |
| Storage | Store at 4°C short term. Aliquot and store at -20°C long term. Avoid freeze/thaw cycles. |
| Species Reactivity | Human,Mouse,Rat |
| Immunogen | A synthesized peptide derived from human Scavenging Receptor SR-BI |
| Formulation | Rabbit IgG in phosphate buffered saline , pH 7.4, 150mM NaCl, 0.02% sodium azide and 50% glycerol. |
| Application | |
|---|---|
| WB | 1/500-1/1000 |
| IHC | 1/50-1/100 |
| ICC | 1/50-1/200 |
| FCM | 1/50-1/100 |
![]() |
Western blot analysis of SCARB1 in (1) Human fetal liver lysates; (2) mouse liver lysates using SCARB1 antibody. |
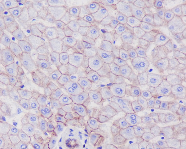
![]() |
Immunohistochemistry analysis of paraffin-embedded Human liver using SCARB1 antibody.High-pressure and temperature Sodium Citrate pH 6.0 was used for antigen retrieval. |
本公司的所有产品仅用于科学研究或者工业应用等非医疗目的,不可用于人类或动物的临床诊断或治疗,非药用,非食用。
暂无评论
本公司的所有产品仅用于科学研究或者工业应用等非医疗目的,不可用于人类或动物的临床诊断或治疗,非药用,非食用。
中文


发表回复