别名:Schwannomin-interacting protein 1, SCHIP-1, SCHIP1应用:WB,IHC,FCM
反应种属:Human
规格:50μl/100μl
| Description |
|---|
| SCHIP1 is a novel coiled-coil protein that specifically associates with schwannomin in vitro and in vivo. Within its coiled-coil region, this protein is homologous to human FEZ proteins and the related Caenorhabditis elegans gene product UNC-76. |
| Specification | |
|---|---|
| Aliases | Schwannomin-interacting protein 1, SCHIP-1, SCHIP1 |
| Swissprot | Q9P0W5 |
| Host/Isotype | Rabbit IgG |
| Storage | Store at 4°C short term. Aliquot and store at -20°C long term. Avoid freeze/thaw cycles. |
| Species Reactivity | Human |
| Immunogen | This SCHIP1 antibody is generated from rabbits immunized with a KLH conjugated synthetic peptide between 90-118 amino acids from the Central region of human SCHIP1. |
| Formulation | Purified polyclonal antibody supplied in PBS with 0.05% sodium azide. This antibody is purified through a protein A column, followed by peptide affinity purification. |
| Application | |
|---|---|
| WB | 1/1000 |
| IHC | 1/100-1/500 |
| FCM | 1/10-1/50 |
![]() |
SCHIP1 Antibody (Center) (Cat. #P31177) western blot analysis in Hela cell line lysates (35ug/lane).This demonstrates the SCHIP1 antibody detected the SCHIP1 protein (arrow). |
![]() |
SCHIP1 Antibody (Center) (Cat. #P31177) flow cytometric analysis of Hela cells (right histogram) compared to a negative control cell (left histogram).FITC-conjugated goat-anti-rabbit secondary antibodies were used for the analysis. |
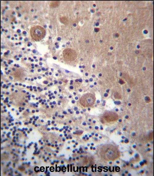
![]() |
SCHIP1 Antibody (Center) (Cat. #P31177)immunohistochemistry analysis in formalin fixed and paraffin embedded human cerebellum tissue followed by peroxidase conjugation of the secondary antibody and DAB staining.This data demonstrates the use of SCHIP1 Antibody (Center) for immunohistochemistry. Clinical relevance has not been evaluated. |
本公司的所有产品仅用于科学研究或者工业应用等非医疗目的,不可用于人类或动物的临床诊断或治疗,非药用,非食用。
暂无评论
本公司的所有产品仅用于科学研究或者工业应用等非医疗目的,不可用于人类或动物的临床诊断或治疗,非药用,非食用。
中文



发表回复