别名:NaN; SNS-2; NAV1.9; SCN12A应用:IHC
反应种属:Human, Mouse, Rat
规格:50μl/100μl
| Description |
|---|
| Voltage-gated sodium channels are membrane protein complexes that play a fundamental role in the rising phase of the action potential in most excitable cells. Alpha subunits, such as SCN11A, mediate voltage-dependent gating and conductance, while auxiliary beta subunits regulate the kinetic properties of the channel and facilitate membrane localization of the complex. Aberrant expression patterns or mutations of alpha subunits underlie a number of disorders. Each alpha subunit consists of 4 domains connected by 3 intracellular loops; each domain consists of 6 transmembrane segments and intra- and extracellular linkers. |
| Specification | |
|---|---|
| Aliases | NaN; SNS-2; NAV1.9; SCN12A |
| Swissprot | Q9UI33 |
| Host/Isotype | Rabbit IgG |
| Storage | Store at 4°C short term. Aliquot and store at -20°C long term. Avoid freeze/thaw cycles. |
| Species Reactivity | Human, Mouse, Rat |
| Immunogen | Synthetic peptide of human SCN11A |
| Formulation | pH7.4 PBS, 0.05% NaN3, 40% Glycerol |
| Application | |
|---|---|
| IHC | 1/50-1/200 |
| ELISA | 1/2000-1/5000 |
![]() |
The image is immunohistochemistry of paraffin-embedded Human esophagus cancer tissue using P04445(SCN11A Antibody) at dilution 1/40. (Original magnification: ×200) |
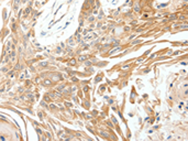
![]() |
The image is immunohistochemistry of paraffin-embedded Human breast cancer tissue using P04445(SCN11A Antibody) at dilution 1/40. (Original magnification: ×200) |
本公司的所有产品仅用于科学研究或者工业应用等非医疗目的,不可用于人类或动物的临床诊断或治疗,非药用,非食用。
暂无评论
本公司的所有产品仅用于科学研究或者工业应用等非医疗目的,不可用于人类或动物的临床诊断或治疗,非药用,非食用。
中文


发表回复