别名:HBA; NAC2; BFIC3; BFIS3; BFNIS; HBSCI; EIEE11; HBSCII; Nav1.2; SCN2A1; SCN2A2; Na(v)1.2应用:IHC
反应种属:Human, Rat
规格:50μl/100μl
| Description |
|---|
| Voltage-gated sodium channels are transmembrane glycoprotein complexes composed of a large alpha subunit with 24 transmembrane domains and one or more regulatory beta subunits. They are responsible for the generation and propagation of action potentials in neurons and muscle. This gene encodes one member of the sodium channel alpha subunit gene family. It is heterogeneously expressed in the brain, and mutations in this gene have been linked to several seizure disorders. Several alternatively spliced transcript variants of this gene have been described, but the full-length nature of some of these variants has not been determined. |
| Specification | |
|---|---|
| Aliases | HBA; NAC2; BFIC3; BFIS3; BFNIS; HBSCI; EIEE11; HBSCII; Nav1.2; SCN2A1; SCN2A2; Na(v)1.2 |
| Swissprot | Q99250 |
| Host/Isotype | Rabbit IgG |
| Storage | Store at 4°C short term. Aliquot and store at -20°C long term. Avoid freeze/thaw cycles. |
| Species Reactivity | Human, Rat |
| Immunogen | Synthetic peptide of human SCN2A |
| Formulation | pH7.4 PBS, 0.05% NaN3, 40% Glycerol |
| Application | |
|---|---|
| IHC | 1/25-1/100 |
| ELISA | 1/1000-1/5000 |
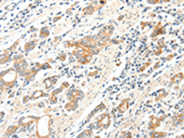
![]() |
The image is immunohistochemistry of paraffin-embedded Human thyroid cancer tissue using P04441(SCN2A Antibody) at dilution 1/25. (Original magnification: ×200) |
![]() |
The image is immunohistochemistry of paraffin-embedded Human gastric cancer tissue using P04441(SCN2A Antibody) at dilution 1/25. (Original magnification: ×200) |
本公司的所有产品仅用于科学研究或者工业应用等非医疗目的,不可用于人类或动物的临床诊断或治疗,非药用,非食用。
暂无评论
本公司的所有产品仅用于科学研究或者工业应用等非医疗目的,不可用于人类或动物的临床诊断或治疗,非药用,非食用。
中文


发表回复