别名:Ses2应用:WB,IHC
反应种属:Human, Mouse, Rat
规格:50μl/100μl
| Description |
|---|
| SCRN genes encode protein members of the secernin family including Secernin 1, Secernin 2 and Secernin 3. Function of Secernin 2 and Secernin 3 are so far not well understood. Secernin 1 is a novel 50-kDa cytosolic protein that appears to be involved in the regulation of exocytosis from peritoneal mast cells. Secernin-1 a novel tumor-associated antigen (TAA) and may be a universal marker of different cancer types including gastric cancer, which has been validated by several researches. Measurement of SCRN1 can be used in the early detection of cancer or in the surveillance of patients who undergo surgery. |
| Specification | |
|---|---|
| Aliases | Ses2 |
| Swissprot | Q96FV2 |
| WB Predicted band size | 47 kDa |
| Host/Isotype | Rabbit IgG |
| Storage | Store at 4°C short term. Aliquot and store at -20°C long term. Avoid freeze/thaw cycles. |
| Species Reactivity | Human, Mouse, Rat |
| Immunogen | Fusion protein of human SCRN2 |
| Formulation | pH7.4 PBS, 0.05% NaN3, 40% Glycerol |
| Application | |
|---|---|
| WB | 1/500-1/2000 |
| IHC | 1/50-1/300 |
| ELISA | 1/5000-1/10000 |
![]() |
Gel: 8%SDS-PAGE, Lysate: 40 μg, Lane: Mouse small intestines tissue lysate, Primary antibody: P02906(SCRN2 Antibody) at dilution 1/350, Secondary antibody: Goat anti rabbit IgG at 1/8000 dilution, Exposure time: 10 seconds |
![]() |
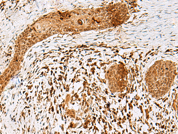
The image is immunohistochemistry of paraffin-embedded Human esophagus cancer tissue using P02906(SCRN2 Antibody) at dilution 1/50. (Original magnification: ×200) |
![]() |
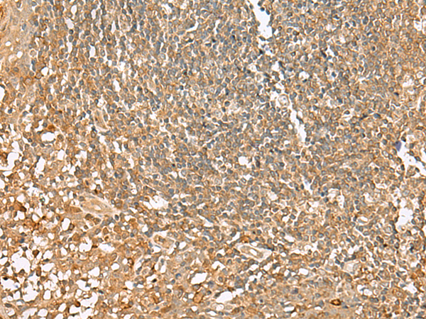
The image is immunohistochemistry of paraffin-embedded Human tonsil tissue using P02906(SCRN2 Antibody) at dilution 1/50. (Original magnification: ×200) |
本公司的所有产品仅用于科学研究或者工业应用等非医疗目的,不可用于人类或动物的临床诊断或治疗,非药用,非食用。
暂无评论
本公司的所有产品仅用于科学研究或者工业应用等非医疗目的,不可用于人类或动物的临床诊断或治疗,非药用,非食用。
中文



发表回复