别名:BBS16; CCCAP; SLSN7; NPHP10; hCCCAP; HSPC085; NY-CO-8; CCCAP SLSN7应用:IHC
反应种属:Human, Mouse
规格:50μl/100μl
| Description |
|---|
| This gene encodes a centrosome associated protein. This protein may be involved in organizing the centrosome during interphase and mitosis. Mutations in this gene are associated with retinal-renal ciliopathy. |
| Specification | |
|---|---|
| Aliases | BBS16; CCCAP; SLSN7; NPHP10; hCCCAP; HSPC085; NY-CO-8; CCCAP SLSN7 |
| Swissprot | Q86SQ7 |
| Host/Isotype | Rabbit IgG |
| Storage | Store at 4°C short term. Aliquot and store at -20°C long term. Avoid freeze/thaw cycles. |
| Species Reactivity | Human, Mouse |
| Immunogen | Synthetic peptide of human SDCCAG8 |
| Formulation | pH7.4 PBS, 0.05% NaN3, 40% Glycerol |
| Application | |
|---|---|
| IHC | 1/25-1/100 |
| ELISA | 1/5000-1/10000 |
![]() |
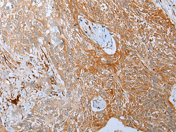
The image is immunohistochemistry of paraffin-embedded Human gastric cancer tissue using P12558(SDCCAG8 Antibody) at dilution 1/20. (Original magnification: ×200) |
![]() |
The image is immunohistochemistry of paraffin-embedded Human lung cancer tissue using P12558(SDCCAG8 Antibody) at dilution 1/20. (Original magnification: ×200) |
本公司的所有产品仅用于科学研究或者工业应用等非医疗目的,不可用于人类或动物的临床诊断或治疗,非药用,非食用。
暂无评论
本公司的所有产品仅用于科学研究或者工业应用等非医疗目的,不可用于人类或动物的临床诊断或治疗,非药用,非食用。
中文


发表回复