别名:SPC18; SPCS4A; SEC11L1; sid2895; 1810012E07Rik应用:WB,IHC
反应种属:Human, Mouse, Rat
规格:50μl/100μl
| Description |
|---|
| This gene encodes a member of the peptidase S26B family. The encoded protein is an 18kDa subunit of the signal peptidase complex and has been linked to cell migration and invasion, gastric cancer and lymph node metastasis. Alternative splicing results in multiple transcript variants. A related pseudogene has been identified on chromosome 8. |
| Specification | |
|---|---|
| Aliases | SPC18; SPCS4A; SEC11L1; sid2895; 1810012E07Rik |
| Swissprot | P67812 |
| WB Predicted band size | 21 kDa |
| Host/Isotype | Rabbit IgG |
| Storage | Store at 4°C short term. Aliquot and store at -20°C long term. Avoid freeze/thaw cycles. |
| Species Reactivity | Human, Mouse, Rat |
| Immunogen | Fusion protein of human SEC11A |
| Formulation | pH7.4 PBS, 0.05% NaN3, 40% Glycerol |
| Application | |
|---|---|
| WB | 1/500-1/2000 |
| IHC | 1/40-1/200 |
| ELISA | 1/5000-1/10000 |
![]() |
Gel: 12%SDS-PAGE, Lysate: 40 μg, Lane 1-4: TM4, HEPG2 and A549 cell, Mouse liver tissue lysates, Primary antibody: P02842(SEC11A Antibody) at dilution 1/300, Secondary antibody: Goat anti rabbit IgG at 1/8000 dilution, Exposure time: 3 seconds |
![]() |
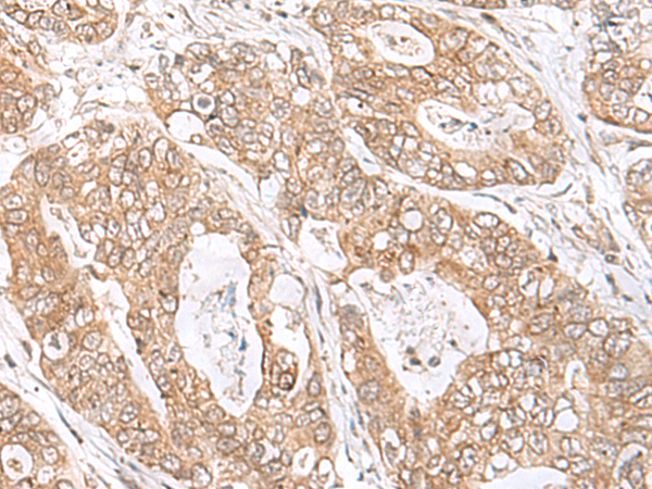
The image is immunohistochemistry of paraffin-embedded Human gastric cancer tissue using P02842(SEC11A Antibody) at dilution 1/45. (Original magnification: ×200) |
本公司的所有产品仅用于科学研究或者工业应用等非医疗目的,不可用于人类或动物的临床诊断或治疗,非药用,非食用。
暂无评论
本公司的所有产品仅用于科学研究或者工业应用等非医疗目的,不可用于人类或动物的临床诊断或治疗,非药用,非食用。
中文


发表回复