别名:Semaphorin-3A, Semaphorin III, Sema III, SEMA3A, SEMAD应用:WB,IHC
反应种属:Human
规格:50μl/100μl
| Description |
|---|
| SEMA3A is a member of the semaphorin family with an Ig-like C2-type (immunoglobulin-like) domain, a PSI domain and a Sema domain. This secreted protein can function as either a chemorepulsive agent, inhibiting axonal outgrowth, or as a chemoattractive agent, stimulating the growth of apical dendrites. In both cases, the protein is vital for normal neuronal pattern development. Increased expression of this protein is associated with schizophrenia and is seen in a variety of human tumor cell lines. Also, aberrant release of this protein is associated with the progression of Alzheimer’s disease. |
| Specification | |
|---|---|
| Aliases | Semaphorin-3A, Semaphorin III, Sema III, SEMA3A, SEMAD |
| Entrez GeneID | 10371 |
| Swissprot | Q14563 |
| WB Predicted band size | 88.9kDa |
| Host/Isotype | Rabbit IgG |
| Storage | Store at 4°C short term. Aliquot and store at -20°C long term. Avoid freeze/thaw cycles. |
| Species Reactivity | Human |
| Immunogen | This SEMA3A antibody is generated from rabbits immunized with a KLH conjugated synthetic peptide between 535-566 amino acids from the Central region of human SEMA3A. |
| Formulation | Purified polyclonal antibody supplied in PBS with 0.05% sodium azide. This antibody is prepared by Saturated Ammonium Sulfate (SAS) precipitation followed by dialysis against PBS. |
| Application | |
|---|---|
| WB | 1/1000 |
| IHC | 1/100-1/500 |
![]() |
Western blot analysis of SEMA3A Antibody (Center) (Cat. #P30289) in CEM cell line lysates (35ug/lane). SEMA3A (arrow) was detected using the purified Pab. |
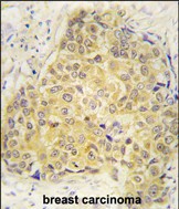
![]() |
Formalin-fixed and paraffin-embedded human breast carcinoma tissue reacted with SEMA3A antibody (Center) (Cat.#P30289), which was peroxidase-conjugated to the secondary antibody, followed by DAB staining. This data demonstrates the use of this antibody for immunohistochemistry; clinical relevance has not been evaluated. |
本公司的所有产品仅用于科学研究或者工业应用等非医疗目的,不可用于人类或动物的临床诊断或治疗,非药用,非食用。
暂无评论
本公司的所有产品仅用于科学研究或者工业应用等非医疗目的,不可用于人类或动物的临床诊断或治疗,非药用,非食用。
中文


发表回复