别名:应用:WB,IHC
反应种属:Human, Mouse
规格:50μl/100μl
| Description |
|---|
| Semaphorins are a large family, including both secreted and membrane associated proteins, many of which have been implicated as inhibitors or chemorepellents in axon pathfinding, fasciculation and branching, and target selection. All semaphorins possess a semaphorin (Sema) domain and a PSI domain (found in plexins, semaphorins and integrins) in the N-terminal extracellular portion. Additional sequence motifs C-terminal to the semaphorin domain allow classification into distinct subfamilies. Results demonstrate that transmembrane semaphorins, like the secreted ones, can act as repulsive axon guidance cues. This gene encodes a class 6 vertebrate transmembrane semaphorin that demonstrates alternative splicing. Several transcript variants have been identified and expression of the distinct encoded isoforms is thought to be regulated in a tissue- and development-dependent manner. |
| Specification | |
|---|---|
| Swissprot | Q8NFY4 |
| WB Predicted band size | 120 kDa |
| Host/Isotype | Rabbit IgG |
| Storage | Store at 4°C short term. Aliquot and store at -20°C long term. Avoid freeze/thaw cycles. |
| Species Reactivity | Human, Mouse |
| Immunogen | Synthetic peptide of human SEMA6D |
| Formulation | pH7.4 PBS, 0.05% NaN3, 40% Glycerol |
| Application | |
|---|---|
| WB | 1/500-1/2000 |
| IHC | 1/50-1/100 |
| ELISA | 1/5000-1/10000 |
![]() |
Gel: 6%SDS-PAGE, Lysate: 40 μg, Lane: LOVO cell lysate, Primary antibody: P12149(SEMA6D Antibody) at dilution 1/700, Secondary antibody: Goat anti rabbit IgG at 1/5000 dilution, Exposure time: 5 minutes |
![]() |
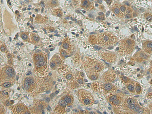
The image is immunohistochemistry of paraffin-embedded Human liver cancer tissue using P12149(SEMA6D Antibody) at dilution 1/30. (Original magnification: ×200) |
本公司的所有产品仅用于科学研究或者工业应用等非医疗目的,不可用于人类或动物的临床诊断或治疗,非药用,非食用。
暂无评论
本公司的所有产品仅用于科学研究或者工业应用等非医疗目的,不可用于人类或动物的临床诊断或治疗,非药用,非食用。
中文


发表回复