别名:Septin-5, Cell division control-related protein 1, CDCrel-1, Peanut-like protein 1, SEPT5, PNUTL1应用:WB,IHC
反应种属:Human
规格:50μl/100μl
| Description |
|---|
| This gene is a member of the septin gene family of nucleotide binding proteins, originally described in yeast as cell division cycle regulatory proteins. Septins are highly conserved in yeast, Drosophila, and mouse and appear to regulate cytoskeletal organization. Disruption of septin function disturbs cytokinesis and results in large multinucleate or polyploid cells. This gene is mapped to 22q11, the region frequently deleted in DiGeorge and velocardiofacial syndromes. A translocation involving the MLL gene and this gene has also been reported in patients with acute myeloid leukemia. Alternative splicing results in multiple transcript variants. The presence of a non-consensus polyA signal (AACAAT) in this gene also results in read-through transcription into the downstream neighboring gene (GP1BB; platelet glycoprotein Ib), whereby larger, non-coding transcripts are produced. [provided by RefSeq]. |
| Specification | |
|---|---|
| Aliases | Septin-5, Cell division control-related protein 1, CDCrel-1, Peanut-like protein 1, SEPT5, PNUTL1 |
| Entrez GeneID | 5413 |
| Swissprot | Q99719 |
| WB Predicted band size | 42.8kDa |
| Host/Isotype | Rabbit IgG |
| Storage | Store at 4°C short term. Aliquot and store at -20°C long term. Avoid freeze/thaw cycles. |
| Species Reactivity | Human |
| Immunogen | This SEPT5 antibody is generated from rabbits immunized with a KLH conjugated synthetic peptide between 1-30 amino acids from the N-terminal region of human SEPT5. |
| Formulation | Purified polyclonal antibody supplied in PBS with 0.05% sodium azide. This antibody is purified through a protein A column, followed by peptide affinity purification. |
| Application | |
|---|---|
| WB | 1/1000 |
| IHC | 1/100-1/500 |
![]() |
Western blot analysis of lysate from human brain tissue lysate, using SEPT5 Antibody (N-term)(Cat. #P31528). P31528 was diluted at 1:1000 at each lane. A goat anti-rabbit IgG H&L(HRP) at 1:5000 dilution was used as the secondary antibody. Lysate at 35ug per lane. |
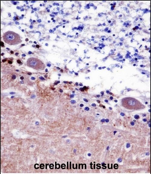
![]() |
SEPT5 Antibody (N-term) (P31528)immunohistochemistry analysis in formalin fixed and paraffin embedded human cerebellum tissue followed by peroxidase conjugation of the secondary antibody and DAB staining.This data demonstrates the use of SEPT5 Antibody (N-term) for immunohistochemistry. Clinical relevance has not been evaluated. |
本公司的所有产品仅用于科学研究或者工业应用等非医疗目的,不可用于人类或动物的临床诊断或治疗,非药用,非食用。
暂无评论
本公司的所有产品仅用于科学研究或者工业应用等非医疗目的,不可用于人类或动物的临床诊断或治疗,非药用,非食用。
中文


发表回复