别名:SEPT10应用:IHC
反应种属:Human, Mouse, Rat
规格:50μl/100μl
| Description |
|---|
| This gene encodes a member of the septin family of cytoskeletal proteins with GTPase activity. This protein localizes to the cytoplasm and nucleus and displays GTP-binding and GTPase activity. A pseudogene for this gene is located on chromosome 8. Alternative splicing results in multiple transcript variants. [provided by RefSeq, Apr 2012] |
| Specification | |
|---|---|
| Aliases | SEPT10 |
| Swissprot | Q9P0V9 |
| Host/Isotype | Rabbit IgG |
| Storage | Store at 4°C short term. Aliquot and store at -20°C long term. Avoid freeze/thaw cycles. |
| Species Reactivity | Human, Mouse, Rat |
| Immunogen | Fusion protein of human SEPTIN10 |
| Formulation | pH7.4 PBS, 0.05% NaN3, 40% Glycerol |
| Application | |
|---|---|
| IHC | 1/30-1/150 |
| ELISA | 1/5000-1/10000 |
![]() |
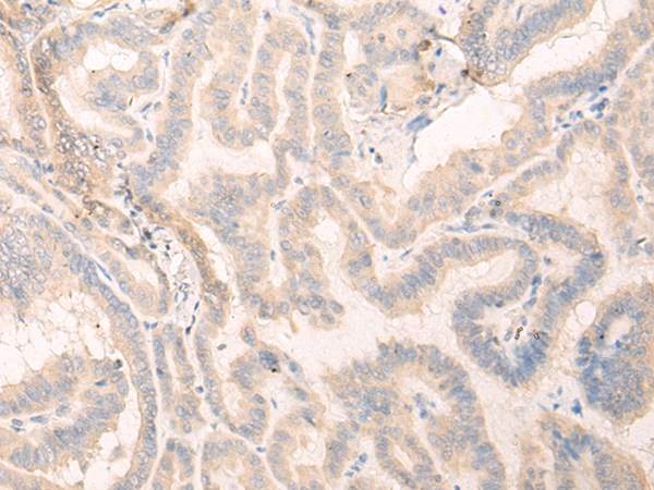
The image is immunohistochemistry of paraffin-embedded Human cervical cancer tissue using P02740(SEPTIN10 Antibody) at dilution 1/25. (Original magnification: ×200) |
![]() |
The image is immunohistochemistry of paraffin-embedded Human thyroid cancer tissue using P02740(SEPTIN10 Antibody) at dilution 1/25. (Original magnification: ×200) |
本公司的所有产品仅用于科学研究或者工业应用等非医疗目的,不可用于人类或动物的临床诊断或治疗,非药用,非食用。
暂无评论
本公司的所有产品仅用于科学研究或者工业应用等非医疗目的,不可用于人类或动物的临床诊断或治疗,非药用,非食用。
中文


发表回复