别名:GCET1; SERPINA11; SERPINA11b应用:WB,IHC
反应种属:Human
规格:50μl/100μl
| Description |
|---|
| Serpin A9 also known as centerin or GCET1 is a protein that in humans is encoded by the SERPINA9 gene located on chromosome 14q32.1.[1] Serpin A9 is a member of the serpin family of serine protease inhibitors. The expression of SERPINA9 is restricted to germinal center B cells and lymphoid malignancies. SERPINA9 is likely to function in vivo in the germinal center as an efficient inhibitor of trypsin-like proteases. Highly expressed in normal germinal center (GC) B-cells and GC B-cell-derived malignancies. |
| Specification | |
|---|---|
| Aliases | GCET1; SERPINA11; SERPINA11b |
| Swissprot | Q86WD7 |
| WB Predicted band size | 47 kDa |
| Host/Isotype | Rabbit IgG |
| Storage | Store at 4°C short term. Aliquot and store at -20°C long term. Avoid freeze/thaw cycles. |
| Species Reactivity | Human |
| Immunogen | Synthetic peptide of human SERPINA9 |
| Formulation | pH7.4 PBS, 0.05% NaN3, 40% Glycerol |
| Application | |
|---|---|
| WB | 1/500-1/2000 |
| IHC | 1/50-1/200 |
| ELISA | 1/2000-1/5000 |
![]() |
Gel: 8%SDS-PAGE, Lysate: 40 μg, Lane 1-4: 293T cells, 231 cells, U937 cells, Raji cells, Primary antibody: P04647(SERPINA9 Antibody) at dilution 1/350, Secondary antibody: Goat anti rabbit IgG at 1/8000 dilution, Exposure time: 10 seconds |
![]() |
The image is immunohistochemistry of paraffin-embedded Human thyroid cancer tissue using P04647(SERPINA9 Antibody) at dilution 1/60. (Original magnification: ×200) |
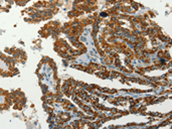
![]() |
The image is immunohistochemistry of paraffin-embedded Human lung cancer tissue using P04647(SERPINA9 Antibody) at dilution 1/60. (Original magnification: ×200) |
本公司的所有产品仅用于科学研究或者工业应用等非医疗目的,不可用于人类或动物的临床诊断或治疗,非药用,非食用。
暂无评论
本公司的所有产品仅用于科学研究或者工业应用等非医疗目的,不可用于人类或动物的临床诊断或治疗,非药用,非食用。
中文



发表回复