别名:CBP1; CBP2; OI10; gp46; AsTP3; HSP47; PIG14; PPROM; RA-A47; SERPINH2应用:WB,IHC
反应种属:Human, Mouse, Rat
规格:50μl/100μl
| Description |
|---|
| This gene encodes a member of the serpin superfamily of serine proteinase inhibitors. The encoded protein is localized to the endoplasmic reticulum and plays a role in collagen biosynthesis as a collagen-specific molecular chaperone. Autoantibodies to the encoded protein have been found in patients with rheumatoid arthritis. Expression of this gene may be a marker for cancer, and nucleotide polymorphisms in this gene may be associated with preterm birth caused by preterm premature rupture of membranes. Alternatively spliced transcript variants have been observed for this gene, and a pseudogene of this gene is located on the short arm of chromosome 9. |
| Specification | |
|---|---|
| Aliases | CBP1; CBP2; OI10; gp46; AsTP3; HSP47; PIG14; PPROM; RA-A47; SERPINH2 |
| Swissprot | P50454 |
| WB Predicted band size | 46 kDa |
| Host/Isotype | Rabbit IgG |
| Storage | Store at 4°C short term. Aliquot and store at -20°C long term. Avoid freeze/thaw cycles. |
| Species Reactivity | Human, Mouse, Rat |
| Immunogen | Synthetic peptide of human SERPINH1 |
| Formulation | pH7.4 PBS, 0.05% NaN3, 40% Glycerol |
| Application | |
|---|---|
| WB | 1/200-1/1000 |
| IHC | 1/25-1/100 |
| ELISA | 1/5000-1/10000 |
![]() |
Gel: 8%SDS-PAGE, Lysate: 40 μg, Lane 1-6: Human fetal liver tissue, NIH/3T3, A431, Hela, 293T and Hepg2 cell lysates, Primary antibody: P05877(SERPINH1 Antibody) at dilution 1/200, Secondary antibody: Goat anti rabbit IgG at 1/8000 dilution, Exposure time: 30 seconds |
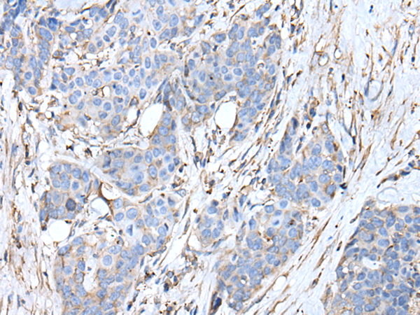
![]() |
The image is immunohistochemistry of paraffin-embedded Human colorectal cancer tissue using P05877(SERPINH1 Antibody) at dilution 1/25. (Original magnification: ×200) |
![]() |
The image is immunohistochemistry of paraffin-embedded Human thyroid cancer tissue using P05877(SERPINH1 Antibody) at dilution 1/25. (Original magnification: ×200) |
本公司的所有产品仅用于科学研究或者工业应用等非医疗目的,不可用于人类或动物的临床诊断或治疗,非药用,非食用。
暂无评论
本公司的所有产品仅用于科学研究或者工业应用等非医疗目的,不可用于人类或动物的临床诊断或治疗,非药用,非食用。
中文



发表回复