别名:Protein SET, HLA-DR-associated protein II, Inhibitor of granzyme A-activated DNase, IGAAD, PHAPII, Phosphatase 2A inhibitor I2PP2A, I-2PP2A, Template-activating factor I, TAF-I, SET应用:WB,IHC
反应种属:Human
规格:50μl/100μl
| Description |
|---|
| Multitasking protein, involved in apoptosis, transcription, nucleosome assembly and histone binding. Isoform 2 anti-apoptotic activity is mediated by inhibition of the GZMA-activated DNase, NME1. In the course of cytotoxic T-lymphocyte (CTL)-induced apoptosis, GZMA cleaves SET, disrupting its binding to NME1 and releasing NME1 inhibition. Isoform 1 and isoform 2 are potent inhibitors of protein phosphatase 2A. Isoform 1 and isoform 2 inhibit EP300/CREBBP and PCAF-mediated acetylation of histones (HAT) and nucleosomes, most probably by masking the accessibility of lysines of histones to the acetylases. The predominant target for inhibition is histone H4. HAT inhibition leads to silencing of HAT-dependent transcription and prevents active demethylation of DNA. Both isoforms stimulate DNA replication of the adenovirus genome complexed with viral core proteins; however, isoform 2 specific activity is higher. |
| Specification | |
|---|---|
| Aliases | Protein SET, HLA-DR-associated protein II, Inhibitor of granzyme A-activated DNase, IGAAD, PHAPII, Phosphatase 2A inhibitor I2PP2A, I-2PP2A, Template-activating factor I, TAF-I, SET |
| Entrez GeneID | 6418 |
| Swissprot | Q01105 |
| WB Predicted band size | 33.5kDa |
| Host/Isotype | Rabbit IgG |
| Storage | Store at 4°C short term. Aliquot and store at -20°C long term. Avoid freeze/thaw cycles. |
| Species Reactivity | Human |
| Immunogen | This SET antibody is generated from rabbits immunized with a KLH conjugated synthetic peptide between 47-75 amino acids from the N-terminal region of human SET. |
| Formulation | Purified polyclonal antibody supplied in PBS with 0.05% sodium azide. This antibody is purified through a protein A column, followed by peptide affinity purification. |
| Application | |
|---|---|
| WB | 1/1000 |
| IHC | 1/100-1/500 |
![]() |
SET Antibody (N-term) (Cat. #P31497) western blot analysis in Jurkat cell line lysates (35ug/lane).This demonstrates the SET antibody detected the SET protein (arrow). |
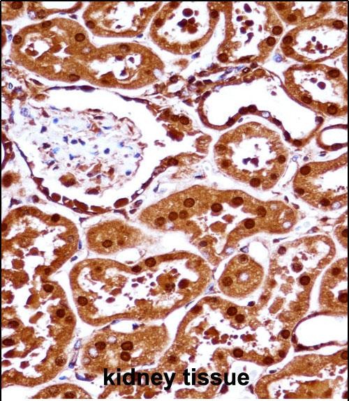
![]() |
SET Antibody (N-term) (P31497)immunohistochemistry analysis in formalin fixed and paraffin embedded human kidney tissue followed by peroxidase conjugation of the secondary antibody and DAB staining.This data demonstrates the use of SET Antibody (N-term) for immunohistochemistry. Clinical relevance has not been evaluated. |
本公司的所有产品仅用于科学研究或者工业应用等非医疗目的,不可用于人类或动物的临床诊断或治疗,非药用,非食用。
暂无评论
本公司的所有产品仅用于科学研究或者工业应用等非医疗目的,不可用于人类或动物的临床诊断或治疗,非药用,非食用。
中文


发表回复