别名:Mar1; HsMar1; METNASE应用:WB,IHC
反应种属:Human
规格:50μl/100μl
| Description |
|---|
| This gene encodes a fusion protein that contains an N-terminal histone-lysine N-methyltransferase domain and a C-terminal mariner transposase domain. The encoded protein binds DNA and functions in DNA repair activities including non-homologous end joining and double strand break repair. The SET domain portion of this protein specifically methylates histone H3 lysines 4 and 36. This gene exists as a fusion gene only in anthropoid primates, other organisms lack mariner transposase domain. |
| Specification | |
|---|---|
| Aliases | Mar1; HsMar1; METNASE |
| Entrez GeneID | 6419; |
| Swissprot | Q53H47 |
| WB Predicted band size | 78kDa |
| Storage | Store at 4°C short term. Aliquot and store at -20°C long term. Avoid freeze/thaw cycles. |
| Species Reactivity | Human |
| Immunogen | Fusion protein of human SETMAR |
| Formulation | Rabbit IgG in pH7.4 PBS, 0.05% NaN3, 40% Glycerol. |
| Application | |
|---|---|
| WB | 1/200-1/1000 |
| IHC | 1/20-1/100 |
![]() |
Gel: 6%SDS-PAGE Lysate: 40 μg Lane: Jurkat cell Primary antibody: 1/400 dilution Secondary antibody: Goat anti rabbit IgG at 1/8000 dilution Exposure time: 30 seconds |
![]() |
Immunohistochemical analysis of paraffin-embedded Human liver cancer tissue using P43443 at dilution 1/20. |
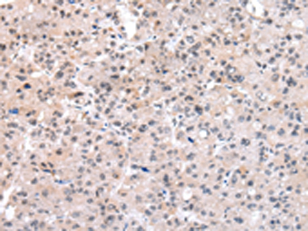
![]() |
Immunohistochemical analysis of paraffin-embedded Human thyroid cancer tissue using P43443 at dilution 1/20. |
本公司的所有产品仅用于科学研究或者工业应用等非医疗目的,不可用于人类或动物的临床诊断或治疗,非药用,非食用。
暂无评论
本公司的所有产品仅用于科学研究或者工业应用等非医疗目的,不可用于人类或动物的临床诊断或治疗,非药用,非食用。
中文



发表回复