别名:Vesicle transport protein SFT2C, SFT2 domain-containing protein 3, SFT2D3 (HGNC:28767)应用:WB,IHC,FCM
反应种属:Human
规格:50μl/100μl
| Description |
|---|
| SFT2D3 may be involved in fusion of retrograde transport vesicles derived from an endocytic compartment with the Golgi complex. |
| Specification | |
|---|---|
| Aliases | Vesicle transport protein SFT2C, SFT2 domain-containing protein 3, SFT2D3 (HGNC:28767) |
| Entrez GeneID | 84826 |
| Swissprot | Q587I9 |
| WB Predicted band size | 21.8kDa |
| Host/Isotype | Rabbit IgG |
| Storage | Store at 4°C short term. Aliquot and store at -20°C long term. Avoid freeze/thaw cycles. |
| Species Reactivity | Human |
| Immunogen | This SFT2D3 antibody is generated from rabbits immunized with a KLH conjugated synthetic peptide between 14-42 amino acids from the N-terminal region of human SFT2D3. |
| Formulation | Purified polyclonal antibody supplied in PBS with 0.05% sodium azide. This antibody is purified through a protein A column, followed by peptide affinity purification. |
| Application | |
|---|---|
| WB | 1/1000 |
| IHC | 1/100-1/500 |
| FCM | 1/10-1/50 |
![]() |
SFT2D3 Antibody (N-term)(Cat. #P30661)western blot analysis in HepG2 cell line lysates (35ug/lane). ?This demonstrates the SFT2D3 antibody detected the SFT2D3 protein (arrow). |
![]() |
SFT2D3 Antibody (N-term) (Cat. #P30661) flow cytometric analysis of HepG2 cells (bottom histogram) compared to a negative control cell (top histogram).FITC-conjugated goat-anti-rabbit secondary antibodies were used for the analysis. |
![]() |
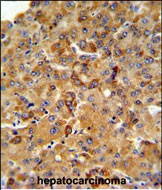
SFT2D3 Antibody (N-term) (Cat. #P30661) IHC analysis in formalin fixed and paraffin embedded human hepatocarcinoma followed by peroxidase conjugation of the secondary antibody and DAB staining. This data demonstrates the use of the SFT2D3 Antibody (N-term) for immunohistochemistry. Clinical relevance has not been evaluated. |
本公司的所有产品仅用于科学研究或者工业应用等非医疗目的,不可用于人类或动物的临床诊断或治疗,非药用,非食用。
暂无评论
本公司的所有产品仅用于科学研究或者工业应用等非医疗目的,不可用于人类或动物的临床诊断或治疗,非药用,非食用。
中文



发表回复