别名:A4; MAM; DMDA; SCG3; 35DAG; DAGA4; DMDA1; LGMD2C; LGMDR5; SCARMD2; gamma-SG应用:WB,IHC
反应种属:Human, Mouse
规格:50μl/100μl
| Description |
|---|
| This gene encodes gamma-sarcoglycan, one of several sarcolemmal transmembrane glycoproteins that interact with dystrophin. The dystrophin-glycoprotein complex (DGC) spans the sarcolemma and is comprised of dystrophin, syntrophin, alpha- and beta-dystroglycans and sarcoglycans. The DGC provides a structural link between the subsarcolemmal cytoskeleton and the extracellular matrix of muscle cells. Defects in the encoded protein can lead to early onset autosomal recessive muscular dystrophy, in particular limb-girdle muscular dystrophy, type 2C (LGMD2C). |
| Specification | |
|---|---|
| Aliases | A4; MAM; DMDA; SCG3; 35DAG; DAGA4; DMDA1; LGMD2C; LGMDR5; SCARMD2; gamma-SG |
| Swissprot | Q13326 |
| WB Predicted band size | 32 kDa |
| Host/Isotype | Rabbit IgG |
| Storage | Store at 4°C short term. Aliquot and store at -20°C long term. Avoid freeze/thaw cycles. |
| Species Reactivity | Human, Mouse |
| Immunogen | Synthetic peptide of human SGCG |
| Formulation | pH7.4 PBS, 0.05% NaN3, 40% Glycerol |
| Application | |
|---|---|
| WB | 1/200-1/1000 |
| IHC | 1/50-1/200 |
| ELISA | 1/5000-1/10000 |
![]() |
Gel: 8%SDS-PAGE, Lysate: 40 μg, Lane: Mouse liver tissue lysate, Primary antibody: P13257(SGCG Antibody) at dilution 1/400, Secondary antibody: Goat anti rabbit IgG at 1/5000 dilution, Exposure time: 30 seconds |
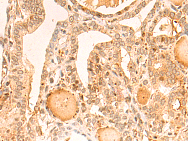
![]() |
The image is immunohistochemistry of paraffin-embedded Human thyroid cancer tissue using P13257(SGCG Antibody) at dilution 1/55. (Original magnification: ×200) |
本公司的所有产品仅用于科学研究或者工业应用等非医疗目的,不可用于人类或动物的临床诊断或治疗,非药用,非食用。
暂无评论
本公司的所有产品仅用于科学研究或者工业应用等非医疗目的,不可用于人类或动物的临床诊断或治疗,非药用,非食用。
中文


发表回复