别名:Serine/threonine-protein kinase Sgk3, Cytokine-independent survival kinase, Serum/glucocorticoid-regulated kinase 3, Serum/glucocorticoid-regulated kinase-like, SGK3, CISK, SGKL应用:WB,IHC
反应种属:Human
规格:50μl/100μl
| Description |
|---|
| SGK3, a Ser/Thr protein kinase, is similar to serum- and glucocorticoid-induced protein kinase (SGK), but this gene product is not induced by serum or glucocorticoids. Expression is induced in response to signals that activate phosphatidylinositol 3-kinase, which is also true for SGK. |
| Specification | |
|---|---|
| Aliases | Serine/threonine-protein kinase Sgk3, Cytokine-independent survival kinase, Serum/glucocorticoid-regulated kinase 3, Serum/glucocorticoid-regulated kinase-like, SGK3, CISK, SGKL |
| Entrez GeneID | 100533105;23678 |
| Swissprot | Q96BR1 |
| WB Predicted band size | 57.1kDa |
| Host/Isotype | Rabbit IgG |
| Storage | Store at 4°C short term. Aliquot and store at -20°C long term. Avoid freeze/thaw cycles. |
| Species Reactivity | Human |
| Immunogen | This SGK3 antibody is generated from rabbits immunized with a KLH conjugated synthetic peptide between 1-30 amino acids from the N-terminal region of human SGK3. |
| Formulation | Purified polyclonal antibody supplied in PBS with 0.05% sodium azide. This antibody is prepared by Saturated Ammonium Sulfate (SAS) precipitation followed by dialysis against PBS. |
| Application | |
|---|---|
| WB | 1/1000 |
| IHC | 1/100-1/500 |
![]() |
Western blot analysis of anti-SKG3 Pab (Cat. #P30017) in A375 cell lysate. SGK3 (arrow) was detected using purified Pab. Secondary HRP-anti-rabbit was used for signal visualization with chemiluminescence. |
![]() |
Formalin-fixed and paraffin-embedded human cancer tissue reacted with the primary antibody, which was peroxidase-conjugated to the secondary antibody, followed by DAB staining. This data demonstrates the use of this antibody for immunohistochemistry; clinical relevance has not been evaluated. BC = breast carcinoma; HC = hepatocarcinoma. |
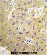
![]() |
Formalin-fixed and paraffin-embedded human hepatocarcinoma tissue reacted with SGK3 Antibody (N-term) (Cat.#P30017), which was peroxidase-conjugated to the secondary antibody, followed by DAB staining. This data demonstrates the use of this antibody for immunohistochemistry; clinical relevance has not been evaluated. |
![]() |
IHCdetection of SGK3 protein on the paraffin sections of the WT (left) and YPC (right) mice at P0 (B and C), P3 (D and E), and P5 (F and G) skin. Positive signals were observed in the cytoplasm of the hair follicle keratinocytes, especially in hair bulb, ORS, IRS, cuticle/cortex and bulge, or sebaceous glands. Some differences between the WT and YPC, for example, the expression in bulb keratinocytes were observed at P3 and P5. Scale bar, 50. |
本公司的所有产品仅用于科学研究或者工业应用等非医疗目的,不可用于人类或动物的临床诊断或治疗,非药用,非食用。
暂无评论
本公司的所有产品仅用于科学研究或者工业应用等非医疗目的,不可用于人类或动物的临床诊断或治疗,非药用,非食用。
中文




发表回复