别名:Phosphatidylcholine:ceramide cholinephosphotransferase 2, Sphingomyelin synthase 2, SGMS2, SMS2应用:WB,IHC,FCM
反应种属:Human
规格:50μl/100μl
| Description |
|---|
| Sphingomyelin, a major component of cell and Golgi membranes, is made by the transfer of phosphocholine from phosphatidylcholine onto ceramide, with diacylglycerol as a side product. The protein encoded by this gene is an enzyme that catalyzes this reaction primarily at the cell membrane. The synthesis is reversible, and this enzyme can catalyze the reaction in either direction. The encoded protein is required for cell growth. Three transcript variants encoding the same protein have been found for this gene. |
| Specification | |
|---|---|
| Aliases | Phosphatidylcholine:ceramide cholinephosphotransferase 2, Sphingomyelin synthase 2, SGMS2, SMS2 |
| Entrez GeneID | 166929 |
| Swissprot | Q8NHU3 |
| WB Predicted band size | 42.3kDa |
| Host/Isotype | Rabbit IgG |
| Storage | Store at 4°C short term. Aliquot and store at -20°C long term. Avoid freeze/thaw cycles. |
| Species Reactivity | Human |
| Immunogen | This SGMS2 antibody is generated from rabbits immunized with a KLH conjugated synthetic peptide between 338-365 amino acids from the C-terminal region of human SGMS2. |
| Formulation | Purified polyclonal antibody supplied in PBS with 0.05% sodium azide. This antibody is purified through a protein A column, followed by peptide affinity purification. |
| Application | |
|---|---|
| WB | 1/1000 |
| IHC | 1/100-1/500 |
| FCM | 1/10-1/50 |
![]() |
SGMS2 Antibody (C-term) (Cat. #P30547) western blot analysis in MCF-7,CEM,NCI-H460 cell line lysates (35ug/lane).This demonstrates the SGMS2 antibody detected the SGMS2 protein (arrow). |
![]() |
SGMS2 Antibody (C-term) (Cat. #P30547) flow cytometric analysis of MCF-7 cells (right histogram) compared to a negative control cell (left histogram).FITC-conjugated goat-anti-rabbit secondary antibodies were used for the analysis. |
![]() |
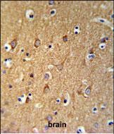
SGMS2 Antibody (C-term) (Cat. #P30547) IHC analysis in formalin fixed and paraffin embedded brain tissue followed by peroxidase conjugation of the secondary antibody and DAB staining. This data demonstrates the use of the SGMS2 Antibody (C-term) for immunohistochemistry. Clinical relevance has not been evaluated. |
本公司的所有产品仅用于科学研究或者工业应用等非医疗目的,不可用于人类或动物的临床诊断或治疗,非药用,非食用。
暂无评论
本公司的所有产品仅用于科学研究或者工业应用等非医疗目的,不可用于人类或动物的临床诊断或治疗,非药用,非食用。
中文



发表回复