别名:SH2 domain-containing protein 4B, SH2D4B应用:WB,IHC,ICC
反应种属:Human
规格:50μl/100μl
| Description |
|---|
| The function of this protein remains unknown. |
| Specification | |
|---|---|
| Aliases | SH2 domain-containing protein 4B, SH2D4B |
| Entrez GeneID | 387694 |
| Swissprot | Q5SQS7 |
| WB Predicted band size | 51.2kDa |
| Host/Isotype | Rabbit IgG |
| Storage | Store at 4°C short term. Aliquot and store at -20°C long term. Avoid freeze/thaw cycles. |
| Species Reactivity | Human |
| Immunogen | This SH2D4B antibody is generated from rabbits immunized with a KLH conjugated synthetic peptide between 374-402 amino acids from the C-terminal region of human SH2D4B. |
| Formulation | Purified polyclonal antibody supplied in PBS with 0.05% sodium azide. This antibody is purified through a protein A column, followed by peptide affinity purification. |
| Application | |
|---|---|
| WB | 1/1000 |
| IHC | 1/100-1/500 |
| ICC | 1/10-1/50 |
![]() |
SH2D4B Antibody (C-term) (Cat. #P31009) western blot analysis in HepG2 cell line lysates (35ug/lane).This demonstrates the SH2D4B antibody detected the SH2D4B protein (arrow). |
![]() |
Confocal immunofluorescent analysis of SH2D4B Antibody (C-term)(Cat#P31009) with HepG2 cell followed by Alexa Fluor 488-conjugated goat anti-rabbit lgG (green). DAPI was used to stain the cell nuclear (blue). |
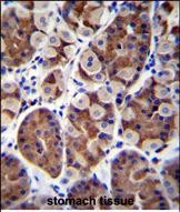
![]() |
SH2D4B Antibody (C-term) (Cat. #P31009)immunohistochemistry analysis in formalin fixed and paraffin embedded human stomach tissue followed by peroxidase conjugation of the secondary antibody and DAB staining.This data demonstrates the use of SH2D4B Antibody (C-term) for immunohistochemistry. Clinical relevance has not been evaluated. |
本公司的所有产品仅用于科学研究或者工业应用等非医疗目的,不可用于人类或动物的临床诊断或治疗,非药用,非食用。
暂无评论
本公司的所有产品仅用于科学研究或者工业应用等非医疗目的,不可用于人类或动物的临床诊断或治疗,非药用,非食用。
中文



发表回复