别名:21-GARP应用:WB,IHC
反应种属:Human
规格:50μl/100μl
| Description |
|---|
| SH3 domain binding glutamic acid-rich protein (SH3BGR), also designated 21-glutamic acid-rich protein (21-GARP), is a 239-amino acid protein differentially expressed in heart and skeletal muscle. Its proline-rich region contains the consensus sequence for an SH3-binding domain and its acidic C-terminal region contains a glutamic acid-rich domain which may assume a coiled-coil structure. SH3BGR may be part of a multimeric complex, as it contains 2 functional domains involved in protein-protein interactions. The SH3BGR gene maps proximal to HMG14 on chromosome 21q22.3. |
| Specification | |
|---|---|
| Aliases | 21-GARP |
| Swissprot | P55822 |
| WB Predicted band size | 26 kDa |
| Host/Isotype | Rabbit IgG |
| Storage | Store at 4°C short term. Aliquot and store at -20°C long term. Avoid freeze/thaw cycles. |
| Species Reactivity | Human |
| Immunogen | Fusion protein of human SH3BGR |
| Formulation | pH7.4 PBS, 0.05% NaN3, 40% Glycerol |
| Application | |
|---|---|
| WB | 1/500-1/2000 |
| IHC | 1/50-1/100 |
| ELISA | 1/5000-1/10000 |
![]() |
Gel: 12%SDS-PAGE, Lysate: 40 μg, Lane: Human muscle tissue lysate, Primary antibody: P03323(SH3BGR Antibody) at dilution 1/400, Secondary antibody: Goat anti rabbit IgG at 1/5000 dilution, Exposure time: 30 seconds |
![]() |
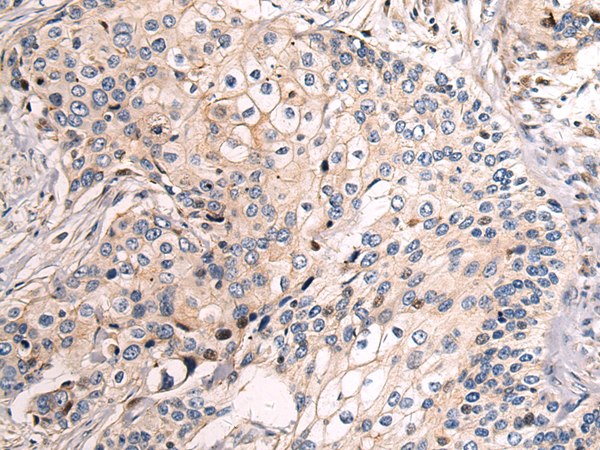
The image is immunohistochemistry of paraffin-embedded Human colorectal cancer tissue using P03323(SH3BGR Antibody) at dilution 1/70. (Original magnification: ×200) |
![]() |
The image is immunohistochemistry of paraffin-embedded Human cervical cancer tissue using P03323(SH3BGR Antibody) at dilution 1/70. (Original magnification: ×200) |
本公司的所有产品仅用于科学研究或者工业应用等非医疗目的,不可用于人类或动物的临床诊断或治疗,非药用,非食用。
暂无评论
本公司的所有产品仅用于科学研究或者工业应用等非医疗目的,不可用于人类或动物的临床诊断或治疗,非药用,非食用。
中文



发表回复