别名:ABP, SBP, TEBG应用:IHC
反应种属:Human, Mouse, Rat
规格:50μl/100μl
| Description |
|---|
| This gene encodes a steroid binding protein that was first described as a plasma protein secreted by the liver but is now thought to participate in the regulation of steroid responses. The encoded protein binds each steroid molecule as a dimer formed from identical or nearly identical monomers. The use of alternate promoters and alternatively spliced transcripts have been described. Multiple transcript variants encoding different isoforms have been found for this gene. |
| Specification | |
|---|---|
| Aliases | ABP, SBP, TEBG |
| Swissprot | P04278 |
| Host/Isotype | Rabbit IgG |
| Storage | Store at 4°C short term. Aliquot and store at -20°C long term. Avoid freeze/thaw cycles. |
| Species Reactivity | Human, Mouse, Rat |
| Immunogen | Synthetic peptide of human SHBG |
| Formulation | pH7.4 PBS, 0.05% NaN3, 40% Glycerol |
| Application | |
|---|---|
| IHC | 1/25-1/100 |
| ELISA | 1/1000-1/5000 |
![]() |
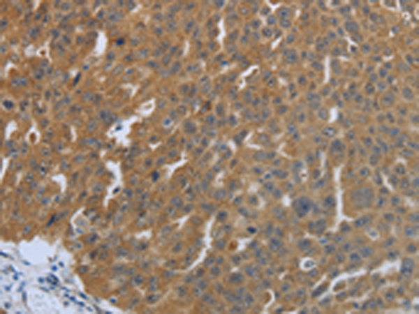
The image is immunohistochemistry of paraffin-embedded Human cervical cancer tissue using P11109(SHBG Antibody) at dilution 1/20. (Original magnification: ×200) |
![]() |
The image is immunohistochemistry of paraffin-embedded Human ovarian cancer tissue using P11109(SHBG Antibody) at dilution 1/20. (Original magnification: ×200) |
本公司的所有产品仅用于科学研究或者工业应用等非医疗目的,不可用于人类或动物的临床诊断或治疗,非药用,非食用。
暂无评论
本公司的所有产品仅用于科学研究或者工业应用等非医疗目的,不可用于人类或动物的临床诊断或治疗,非药用,非食用。
中文


发表回复