别名:PTPN6; HCP; PTP1C; Tyrosine-protein phosphatase non-receptor type 6; Hematopoietic cell protein-tyrosine phosphatase; Protein-tyrosine phosphatase 1C; PTP-1C; Protein-tyrosine phosphatase SHP-1; SH-PTP1应用:WB,IHC
反应种属:Human,Mouse,Rat
规格:50μl/100μl
| Description |
|---|
| The protein encoded by this gene is a member of the protein tyrosine phosphatase (PTP) family. PTPs are known to be signaling molecules that regulate a variety of cellular processes including cell growth, differentiation, mitotic cycle, and oncogenic transformation. |
| Specification | |
|---|---|
| Aliases | PTPN6; HCP; PTP1C; Tyrosine-protein phosphatase non-receptor type 6; Hematopoietic cell protein-tyrosine phosphatase; Protein-tyrosine phosphatase 1C; PTP-1C; Protein-tyrosine phosphatase SHP-1; SH-PTP1 |
| Entrez GeneID | 5777 |
| Swissprot | P29350 |
| WB Predicted band size | Calculated MW: 68 kDa; Observed MW: 68 kDa |
| Host/Isotype | Rabbit IgG |
| Storage | Store at 4°C short term. Aliquot and store at -20°C long term. Avoid freeze/thaw cycles. |
| Species Reactivity | Human,Mouse,Rat |
| Immunogen | A synthesized peptide derived from human SHP1 |
| Formulation | Rabbit IgG in phosphate buffered saline , pH 7.4, 150mM NaCl, 0.02% sodium azide and 50% glycerol. |
| Application | |
|---|---|
| WB | 1/500-1/1000 |
| IHC | 1/50-1/100 |
![]() |
Western blot analysis of SHP1 in Jurkat lysates using SHP1 antibody. |
![]() |
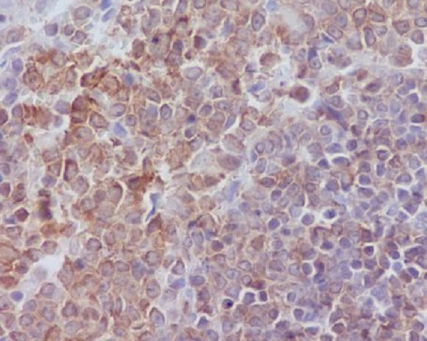
Immunohistochemistry analysis of paraffin-embedded rat spleen using SHP1 antibody.High-pressure and temperature Sodium Citrate pH 6.0 was used for antigen retrieval. |
本公司的所有产品仅用于科学研究或者工业应用等非医疗目的,不可用于人类或动物的临床诊断或治疗,非药用,非食用。
暂无评论
本公司的所有产品仅用于科学研究或者工业应用等非医疗目的,不可用于人类或动物的临床诊断或治疗,非药用,非食用。
中文


发表回复