别名:SPA1应用:IHC
反应种属:Human
规格:50μl/100μl
| Description |
|---|
| The product of this gene is a mitogen induced GTPase activating protein (GAP). It exhibits a specific GAP activity for Ras-related regulatory proteins Rap1 and Rap2, but not for Ran or other small GTPases. This protein may also hamper mitogen-induced cell cycle progression when abnormally or prematurely expressed. It is localized to the perinuclear region. Two alternatively spliced variants encoding the same isoform have been characterized to date. |
| Specification | |
|---|---|
| Aliases | SPA1 |
| Swissprot | Q96FS4 |
| Host/Isotype | Rabbit IgG |
| Storage | Store at 4°C short term. Aliquot and store at -20°C long term. Avoid freeze/thaw cycles. |
| Species Reactivity | Human |
| Immunogen | Synthetic peptide of human SIPA1 |
| Formulation | pH7.4 PBS, 0.05% NaN3, 40% Glycerol |
| Application | |
|---|---|
| IHC | 1/50-1/200 |
| ELISA | 1/2000-1/5000 |
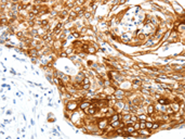
![]() |
The image is immunohistochemistry of paraffin-embedded Human colon cancer tissue using P11358(SIPA1 Antibody) at dilution 1/40. (Original magnification: ×200) |
![]() |
The image is immunohistochemistry of paraffin-embedded Human cervical cancer tissue using P11358(SIPA1 Antibody) at dilution 1/40. (Original magnification: ×200) |
本公司的所有产品仅用于科学研究或者工业应用等非医疗目的,不可用于人类或动物的临床诊断或治疗,非药用,非食用。
暂无评论
本公司的所有产品仅用于科学研究或者工业应用等非医疗目的,不可用于人类或动物的临床诊断或治疗,非药用,非食用。
中文


发表回复