别名:SIRPA; BIT; MFR; MYD1; PTPNS1; SHPS1; SIRP; Tyrosine-protein phosphatase non-receptor type substrate 1; SHP substrate 1; SHPS-1; Brain Ig-like molecule with tyrosine-based activation motifs; Bit; CD172 antigen-like family member A; CD172a; SIRPB1; Signal-regulatory protein beta-1 isoform 3; SIRP-beta-1 isoform 3应用:WB,IHC
反应种属:Human
规格:50μl/100μl
| Description |
|---|
| Immunoglobulin-like cell surface receptor for CD47. Acts as docking protein and induces translocation of PTPN6, PTPN11 and other binding partners from the cytosol to the plasma membrane. Supports adhesion of cerebellar neurons, neurite outgrowth and glial cell attachment. |
| Specification | |
|---|---|
| Aliases | SIRPA; BIT; MFR; MYD1; PTPNS1; SHPS1; SIRP; Tyrosine-protein phosphatase non-receptor type substrate 1; SHP substrate 1; SHPS-1; Brain Ig-like molecule with tyrosine-based activation motifs; Bit; CD172 antigen-like family member A; CD172a; SIRPB1; Signal-regulatory protein beta-1 isoform 3; SIRP-beta-1 isoform 3 |
| Entrez GeneID | 140885/10326 |
| Swissprot | P78324/Q5TFQ8 |
| WB Predicted band size | Calculated MW: 55 kDa; Observed MW: 55 kDa |
| Host/Isotype | Rabbit IgG |
| Storage | Store at 4°C short term. Aliquot and store at -20°C long term. Avoid freeze/thaw cycles. |
| Species Reactivity | Human |
| Immunogen | The antiserum was produced against synthesized peptide derived from the Internal region of human SIRPA/SIRPB1. AA range:281-330 |
| Formulation | Liquid in PBS containing 50% glycerol, 0.5% BSA and 0.02% sodium azide, pH 7.3. |
| Application | |
|---|---|
| WB | 1/500-1/1000 |
| IHC | 1/50-1/100 |
| ELISA | 1/10000 |
![]() |
Western blot analysis of SIRP alpha/beta in Hela lysates using SIRP alpha/beta antibody. |
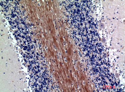
![]() |
Immunohistochemistry analysis of paraffin-embedded Human brain using SIRP alpha/beta antibody.High-pressure and temperature Sodium Citrate pH 6.0 was used for antigen retrieval. |
本公司的所有产品仅用于科学研究或者工业应用等非医疗目的,不可用于人类或动物的临床诊断或治疗,非药用,非食用。
暂无评论
本公司的所有产品仅用于科学研究或者工业应用等非医疗目的,不可用于人类或动物的临床诊断或治疗,非药用,非食用。
中文


发表回复