别名:SIRPA; BIT; MFR; MYD1; PTPNS1; SHPS1; SIRP; Tyrosine-protein phosphatase non-receptor type substrate 1; SHP substrate 1; SHPS-1; Brain Ig-like molecule with tyrosine-based activation motifs; Bit; CD172 antigen-like family member A; Inhibito应用:WB,IHC
反应种属:Human,Mouse,Rat
规格:50μl/100μl
| Description |
|---|
| Immunoglobulin-like cell surface receptor for CD47. Acts as docking protein and induces translocation of PTPN6, PTPN11 and other binding partners from the cytosol to the plasma membrane. Supports adhesion of cerebellar neurons, neurite outgrowth and glial cell attachment. |
| Specification | |
|---|---|
| Aliases | SIRPA; BIT; MFR; MYD1; PTPNS1; SHPS1; SIRP; Tyrosine-protein phosphatase non-receptor type substrate 1; SHP substrate 1; SHPS-1; Brain Ig-like molecule with tyrosine-based activation motifs; Bit; CD172 antigen-like family member A; Inhibito |
| Entrez GeneID | 140885 |
| Swissprot | P78324 |
| WB Predicted band size | Calculated MW: 55 kDa; Observed MW: 55 kDa |
| Host/Isotype | Rabbit IgG |
| Storage | Store at 4°C short term. Aliquot and store at -20°C long term. Avoid freeze/thaw cycles. |
| Species Reactivity | Human,Mouse,Rat |
| Immunogen | The antiserum was produced against synthesized peptide derived from human Sirp alpha1. AA range:451-500 |
| Formulation | Liquid in PBS containing 50% glycerol, 0.5% BSA and 0.02% sodium azide, pH 7.3. |
| Application | |
|---|---|
| WB | 1/500-1/1000 |
| IHC | 1/50-1/100 |
| ELISA | 1/10000 |
![]() |
Western blot analysis of SIRP alpha in various lysates using SIRP alpha antibody. |
![]() |
Western blot analysis of SIRP alpha in HepG2 lysates using Sirp alpha1 antibody. The lane on the right is blocked with the synthesized peptide. |
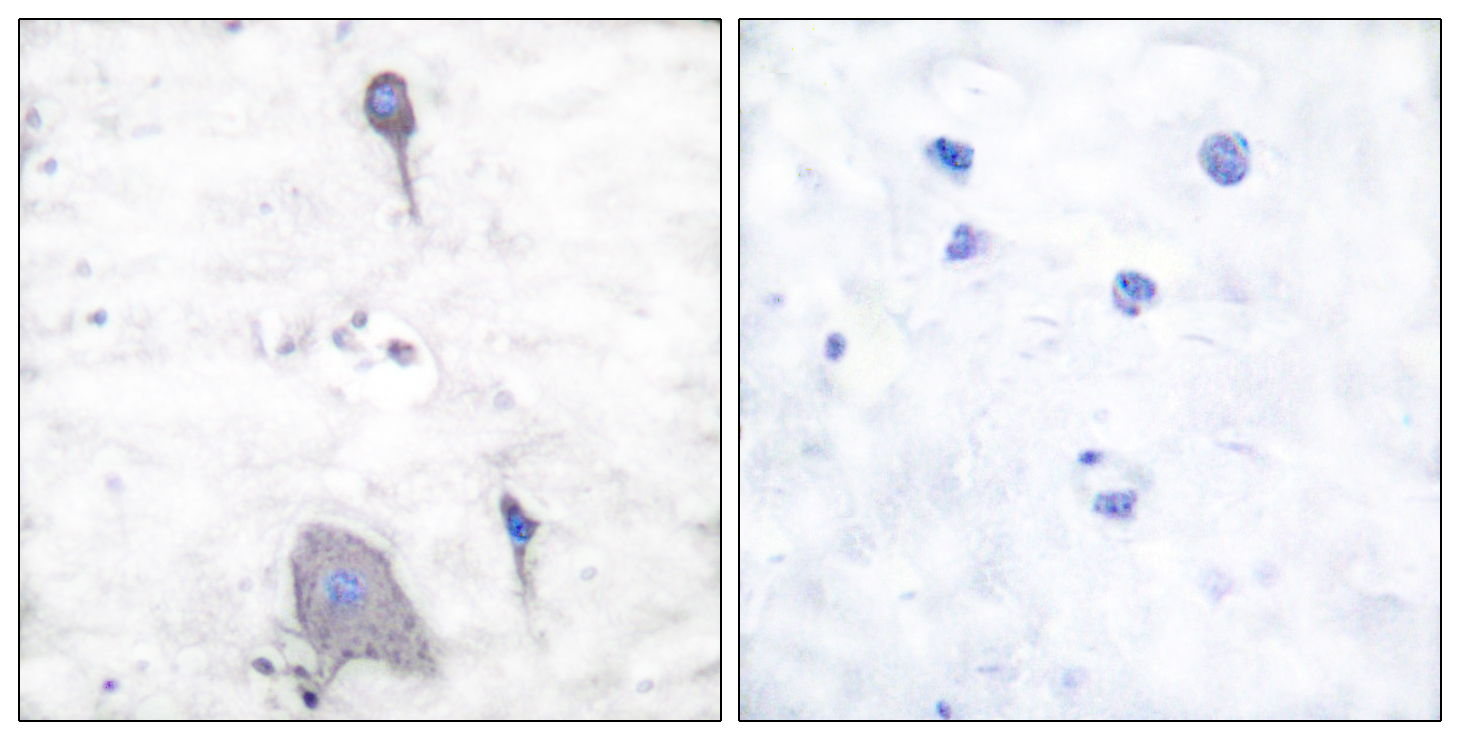
![]() |
Immunohistochemistry analysis of paraffin-embedded Human brain tissue, using Sirp alpha1 antibody.High-pressure and temperature Sodium Citrate pH 6.0 was used for antigen retrieval. Sample with blocking peptide on the right. |
本公司的所有产品仅用于科学研究或者工业应用等非医疗目的,不可用于人类或动物的临床诊断或治疗,非药用,非食用。
暂无评论
本公司的所有产品仅用于科学研究或者工业应用等非医疗目的,不可用于人类或动物的临床诊断或治疗,非药用,非食用。
中文



发表回复