别名:SLC10A1; NTCP; GIG29; Sodium/bile acid cotransporter; Cell growth-inhibiting gene 29 protein; Na(+)/bile acid cotransporter; Na(+)/taurocholate transport protein; Sodium/taurocholate cotransporting polypeptide; Solute carrier family 10 member 1; NTCP1应用:WB,IHC
反应种属:Human
规格:50μl/100μl
| Description |
|---|
| As a major transporter of conjugated bile salts from plasma into the hepatocyte, it has a key role in the enterohepatic circulation of bile salts necessary for the solubilization and absorption of dietary fat and fat-soluble vitamins. |
| Specification | |
|---|---|
| Aliases | SLC10A1; NTCP; GIG29; Sodium/bile acid cotransporter; Cell growth-inhibiting gene 29 protein; Na(+)/bile acid cotransporter; Na(+)/taurocholate transport protein; Sodium/taurocholate cotransporting polypeptide; Solute carrier family 10 member 1; NTCP1 |
| Entrez GeneID | 6554 |
| Swissprot | Q14973 |
| WB Predicted band size | Calculated MW: 38 kDa; Observed MW: 38 kDa |
| Host/Isotype | Rabbit IgG |
| Storage | Store at 4°C short term. Aliquot and store at -20°C long term. Avoid freeze/thaw cycles. |
| Species Reactivity | Human |
| Immunogen | The antiserum was produced against synthesized peptide derived from the C-terminal region of human SLC10A1. AA range:281-330 |
| Formulation | Liquid in PBS containing 50% glycerol, 0.5% BSA and 0.02% sodium azide, pH 7.3. |
| Application | |
|---|---|
| WB | 1/500-1/1000 |
| IHC | 1/50-1/100 |
| ELISA | 1/10000 |
![]() |
Western blot analysis of SLC10A1 in A549 lysates using SLC10A1 antibody. |
![]() |
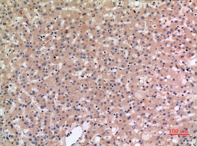
Immunohistochemistry analysis of paraffin-embedded Human liver using SLC10A1 antibody.High-pressure and temperature Sodium Citrate pH 6.0 was used for antigen retrieval. |
![]() |
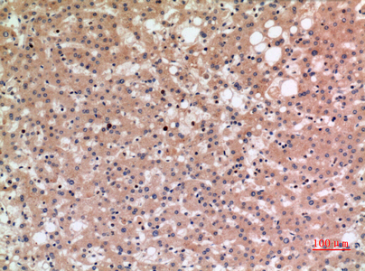
Immunohistochemistry analysis of paraffin-embedded Human liver using SLC10A1 antibody. High-pressure and temperature Sodium Citrate pH 6.0 was used for antigen retrieval. |
![]() |
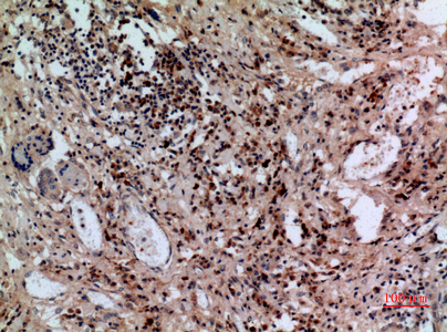
Immunohistochemistry analysis of paraffin-embedded Human lung using SLC10A1 antibody.High-pressure and temperature Sodium Citrate pH 6.0 was used for antigen retrieval. |
本公司的所有产品仅用于科学研究或者工业应用等非医疗目的,不可用于人类或动物的临床诊断或治疗,非药用,非食用。
暂无评论
本公司的所有产品仅用于科学研究或者工业应用等非医疗目的,不可用于人类或动物的临床诊断或治疗,非药用,非食用。
中文




发表回复