别名:NCC; TSC; NCCT应用:IHC
反应种属:Human, Mouse
规格:50μl/100μl
| Description |
|---|
| This gene encodes a renal thiazide-sensitive sodium-chloride cotransporter that is important for electrolyte homeostasis. This cotransporter mediates sodium and chloride reabsorption in the distal convoluted tubule. Mutations in this gene cause Gitelman syndrome, a disease similar to Bartter’s syndrome, that is characterized by hypokalemic alkalosis combined with hypomagnesemia, low urinary calcium, and increased renin activity associated with normal blood pressure. This cotransporter is the target for thiazide diuretics that are used for treating high blood pressure. Multiple transcript variants encoding different isoforms have been found for this gene. |
| Specification | |
|---|---|
| Aliases | NCC; TSC; NCCT |
| Swissprot | P55017 |
| Host/Isotype | Rabbit IgG |
| Storage | Store at 4°C short term. Aliquot and store at -20°C long term. Avoid freeze/thaw cycles. |
| Species Reactivity | Human, Mouse |
| Immunogen | Synthetic peptide of human SLC12A3 |
| Formulation | pH7.4 PBS, 0.05% NaN3, 40% Glycerol |
| Application | |
|---|---|
| IHC | 1/25-1/100 |
| ELISA | 1/5000-1/10000 |
![]() |
The image is immunohistochemistry of paraffin-embedded Human brain tissue using P05832(SLC12A3 Antibody) at dilution 1/25. (Original magnification: ×200) |
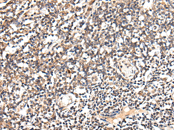
![]() |
The image is immunohistochemistry of paraffin-embedded Human tonsil tissue using P05832(SLC12A3 Antibody) at dilution 1/25. (Original magnification: ×200) |
本公司的所有产品仅用于科学研究或者工业应用等非医疗目的,不可用于人类或动物的临床诊断或治疗,非药用,非食用。
暂无评论
本公司的所有产品仅用于科学研究或者工业应用等非医疗目的,不可用于人类或动物的临床诊断或治疗,非药用,非食用。
中文


发表回复