别名:MCT2应用:WB,IHC
反应种属:Human
规格:50μl/100μl
| Description |
|---|
| This gene is a member of the monocarboxylate transporter family. Members in this family transport metabolites, such as lactate, pyruvate, and ketone bodies. The protein encoded by this gene catalyzes the proton-linked transport of monocarboxylates and has the highest affinity for pyruvate. This protein has been reported to be more highly expressed in prostate and colorectal cancer specimens when compared to control specimens. Alternative splicing results in multiple transcript variants. |
| Specification | |
|---|---|
| Aliases | MCT2 |
| Swissprot | O60669 |
| WB Predicted band size | 52 kDa |
| Host/Isotype | Rabbit IgG |
| Storage | Store at 4°C short term. Aliquot and store at -20°C long term. Avoid freeze/thaw cycles. |
| Species Reactivity | Human |
| Immunogen | Synthetic peptide of human SLC16A7 |
| Formulation | pH7.4 PBS, 0.05% NaN3, 40% Glycerol |
| Application | |
|---|---|
| WB | 1/500-1/2000 |
| IHC | 1/50-1/300 |
| ELISA | 1/5000-1/10000 |
![]() |
Gel: 8%SDS-PAGE, Lysate: 40 μg, Lane 1-4: Human abdominal interstitial sarcoma tissue, A549, 293T and HepG2 cell lysates, Primary antibody: P11020(SLC16A7 Antibody) at dilution 1/550, Secondary antibody: Goat anti rabbit IgG at 1/8000 dilution, Exposure time: 40 seconds |
![]() |
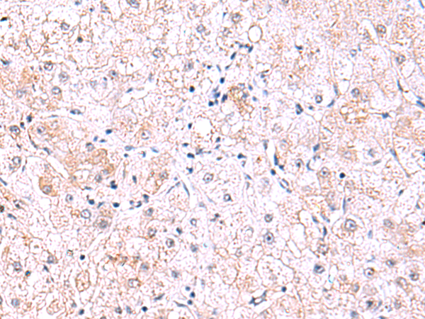
The image is immunohistochemistry of paraffin-embedded Human liver cancer tissue using P11020(SLC16A7 Antibody) at dilution 1/60. (Original magnification: ×200) |
![]() |
The image is immunohistochemistry of paraffin-embedded Human colorectal cancer tissue using P11020(SLC16A7 Antibody) at dilution 1/60. (Original magnification: ×200) |
本公司的所有产品仅用于科学研究或者工业应用等非医疗目的,不可用于人类或动物的临床诊断或治疗,非药用,非食用。
暂无评论
本公司的所有产品仅用于科学研究或者工业应用等非医疗目的,不可用于人类或动物的临床诊断或治疗,非药用,非食用。
中文



发表回复