别名:SATT, ASCT1应用:WB,IHC
反应种属:Human, Mouse
规格:50μl/100μl
| Description |
|---|
| Neutral amino acid transporter A is a protein that in humans is encoded by the SLC1A4 gene. In melanocytic cells SLC1A4 gene expression may be regulated by MITF. ASCT1 does not transport glutamate or aspartate but alanine, serine, cysteine, and threonine instead. ASCT1 transporter functions primarily as an amino acid exchanger. Transport is associated with a chloride channel activity that is thermodynamically uncoupled from amino acid transport. |
| Specification | |
|---|---|
| Aliases | SATT, ASCT1 |
| Swissprot | P43007 |
| WB Predicted band size | 56 kDa |
| Host/Isotype | Rabbit IgG |
| Storage | Store at 4°C short term. Aliquot and store at -20°C long term. Avoid freeze/thaw cycles. |
| Species Reactivity | Human, Mouse |
| Immunogen | Synthetic peptide of human SLC1A4 |
| Formulation | pH7.4 PBS, 0.05% NaN3, 40% Glycerol |
| Application | |
|---|---|
| WB | 1/500-1/2000 |
| IHC | 1/25-1/100 |
| ELISA | 1/1000-1/5000 |
![]() |
Gel: 10+12%SDS-PAGE, Lysate: 30 μg, Lane: Human liver cancer tissue, Primary antibody: P04197(SLC1A4 Antibody) at dilution 1/800, Secondary antibody: Goat anti rabbit IgG at 1/8000 dilution, Exposure time: 20 seconds |
![]() |
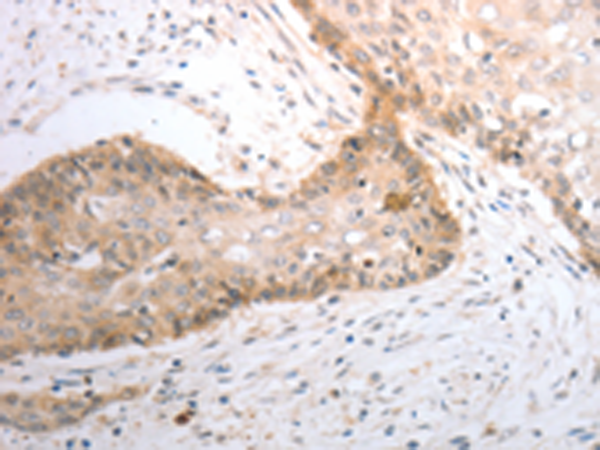
The image is immunohistochemistry of paraffin-embedded Human cervical cancer tissue using P04197(SLC1A4 Antibody) at dilution 1/40. (Original magnification: ×200) |
本公司的所有产品仅用于科学研究或者工业应用等非医疗目的,不可用于人类或动物的临床诊断或治疗,非药用,非食用。
暂无评论
本公司的所有产品仅用于科学研究或者工业应用等非医疗目的,不可用于人类或动物的临床诊断或治疗,非药用,非食用。
中文


发表回复