别名:BOCT, BOIT, 24p3R, NGALR, hBOIT, NGALR2, NGALR3应用:WB,IHC
反应种属:Human, Mouse, Rat
规格:50μl/100μl
| Description |
|---|
| Cell surface receptor for LCN2 (24p3) that plays a key role in iron homeostasis and transport. Able to bind iron-bound LCN2 (holo-24p3), followed by internalization of holo-24p3 and release of iron, thereby increasing intracellular iron concentration and leading to inhibition of apoptosis. Also binds iron-free LCN2 (apo-24p3), followed by internalization of apo-24p3 and its association with an intracellular siderophore, leading to iron chelation and iron transfer to the extracellular medium, thereby reducing intracellular iron concentration and resulting in apoptosis. |
| Specification | |
|---|---|
| Aliases | BOCT, BOIT, 24p3R, NGALR, hBOIT, NGALR2, NGALR3 |
| Swissprot | Q8WUG5 |
| WB Predicted band size | 56 kDa |
| Host/Isotype | Rabbit IgG |
| Storage | Store at 4°C short term. Aliquot and store at -20°C long term. Avoid freeze/thaw cycles. |
| Species Reactivity | Human, Mouse, Rat |
| Immunogen | Synthetic peptide of human SLC22A17 |
| Formulation | pH7.4 PBS, 0.05% NaN3, 40% Glycerol |
| Application | |
|---|---|
| WB | 1/500-1/2000 |
| IHC | 1/25-1/100 |
| ELISA | 1/2000-1/5000 |
![]() |
Gel: 10%SDS-PAGE, Lysate: 40 μg, Lane: Human esophagus cancer tissue, Primary antibody: P11347(SLC22A17 Antibody) at dilution 1/600, Secondary antibody: Goat anti rabbit IgG at 1/8000 dilution, Exposure time: 20 seconds |
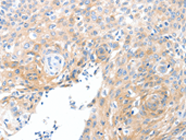
![]() |
The image is immunohistochemistry of paraffin-embedded Human esophagus cancer tissue using P11347(SLC22A17 Antibody) at dilution 1/30. (Original magnification: ×200) |
![]() |
The image is immunohistochemistry of paraffin-embedded Human cervical cancer tissue using P11347(SLC22A17 Antibody) at dilution 1/30. (Original magnification: ×200) |
本公司的所有产品仅用于科学研究或者工业应用等非医疗目的,不可用于人类或动物的临床诊断或治疗,非药用,非食用。
暂无评论
本公司的所有产品仅用于科学研究或者工业应用等非医疗目的,不可用于人类或动物的临床诊断或治疗,非药用,非食用。
中文



发表回复