别名:NLT; OAT2; hOAT11应用:IHC
反应种属:Human, Rat
规格:50μl/100μl
| Description |
|---|
| The protein encoded by this gene is involved in the sodium-independent transport and excretion of organic anions, some of which are potentially toxic. The encoded protein is an integral membrane protein and appears to be localized to the basolateral membrane of the kidney. Alternatively spliced transcript variants encoding different isoforms have been described. |
| Specification | |
|---|---|
| Aliases | NLT; OAT2; hOAT11 |
| Swissprot | Q9Y694 |
| Host/Isotype | Rabbit IgG |
| Storage | Store at 4°C short term. Aliquot and store at -20°C long term. Avoid freeze/thaw cycles. |
| Species Reactivity | Human, Rat |
| Immunogen | Synthetic peptide of human SLC22A7 |
| Formulation | pH7.4 PBS, 0.05% NaN3, 40% Glycerol |
| Application | |
|---|---|
| IHC | 1/50-1/200 |
| ELISA | 1/5000-1/10000 |
![]() |
The image is immunohistochemistry of paraffin-embedded Human liver cancer tissue using P06916(SLC22A7 Antibody) at dilution 1/50. (Original magnification: ×200) |
![]() |
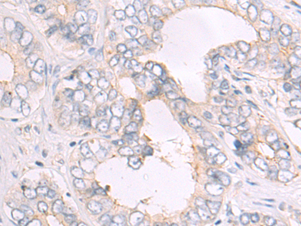
The image is immunohistochemistry of paraffin-embedded Human prostate cancer tissue using P06916(SLC22A7 Antibody) at dilution 1/50. (Original magnification: ×200) |
本公司的所有产品仅用于科学研究或者工业应用等非医疗目的,不可用于人类或动物的临床诊断或治疗,非药用,非食用。
暂无评论
本公司的所有产品仅用于科学研究或者工业应用等非医疗目的,不可用于人类或动物的临床诊断或治疗,非药用,非食用。
中文


发表回复