别名:OGC; SLC20A4应用:WB,IHC
反应种属:Human
规格:50μl/100μl
| Description |
|---|
| The oxoglutarate/malate carrier transports 2-oxoglutarate across the inner membranes of mitochondria in an electroneutral exchange for malate or other dicarboxylic acids, and plays an important role in several metabolic processes, contains the malate-aspartate shuttle, the oxoglutarate/isocitrate shuttle, in gluconeogenesis from lactate, and in nitrogen metabolism. |
| Specification | |
|---|---|
| Aliases | OGC; SLC20A4 |
| Entrez GeneID | 8402; |
| Swissprot | Q02978 |
| WB Predicted band size | 34kDa |
| Storage | Store at 4°C short term. Aliquot and store at -20°C long term. Avoid freeze/thaw cycles. |
| Species Reactivity | Human |
| Immunogen | Fusion protein corresponding to a region derived from internal residues of human solute carrier family 25 (mitochondrial carrier; oxoglutarate carrier), member 11 |
| Formulation | Rabbit IgG in pH7.4 PBS, 0.05% NaN3, 40% Glycerol. |
| Application | |
|---|---|
| WB | 1/500-1/2000 |
| IHC | 1/25-1/100 |
![]() |
Gel: 12%SDS-PAGE Lysates (from left to right): Human lymphoma tissue Amount of lysate: 40ug per lane Primary antibody: 1/600 dilution Secondary antibody dilution: 1/8000 Exposure time: 20 seconds |
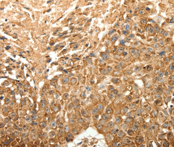
![]() |
Immunohistochemical analysis of paraffin-embedded Human esophagus cancer tissue using P42784 at dilution 1/30. |
本公司的所有产品仅用于科学研究或者工业应用等非医疗目的,不可用于人类或动物的临床诊断或治疗,非药用,非食用。
暂无评论
本公司的所有产品仅用于科学研究或者工业应用等非医疗目的,不可用于人类或动物的临床诊断或治疗,非药用,非食用。
中文


发表回复