别名:Calcium-binding mitochondrial carrier protein SCaMC-2, Mitochondrial ATP-Mg/Pi carrier protein 3, Mitochondrial Ca(2+)-dependent solute carrier protein 3, Small calcium-binding mitochondrial carrier protein 2, Solute carrier family 25 member 25, SLC25A25, APC3, KIAA1896, MCSC3, SCAMC2应用:WB,IHC
反应种属:Human, Mouse, Rat
规格:50μl/100μl
| Description |
|---|
| Calcium-dependent mitochondrial solute carrier. Mitochondrial solute carriers shuttle metabolites, nucleotides, and cofactors through the mitochondrial inner membrane. May act as a ATP-Mg/Pi exchanger that mediates the transport of Mg-ATP in exchange for phosphate, catalyzing the net uptake or efflux of adenine nucleotides into or from the mitochondria. |
| Specification | |
|---|---|
| Aliases | Calcium-binding mitochondrial carrier protein SCaMC-2, Mitochondrial ATP-Mg/Pi carrier protein 3, Mitochondrial Ca(2+)-dependent solute carrier protein 3, Small calcium-binding mitochondrial carrier protein 2, Solute carrier family 25 member 25, SLC25A25, APC3, KIAA1896, MCSC3, SCAMC2 |
| Entrez GeneID | 114789 |
| Swissprot | Q6KCM7 |
| WB Predicted band size | 52.7kDa |
| Host/Isotype | Rabbit IgG |
| Storage | Store at 4°C short term. Aliquot and store at -20°C long term. Avoid freeze/thaw cycles. |
| Species Reactivity | Human, Mouse, Rat |
| Immunogen | This SLC25A25 antibody is generated from rabbits immunized with a KLH conjugated synthetic peptide between 63-93 amino acids from the N-terminal region of human SLC25A25. |
| Formulation | Purified polyclonal antibody supplied in PBS with 0.05% sodium azide. This antibody is purified through a protein A column, followed by peptide affinity purification. |
| Application | |
|---|---|
| WB | 1/1000 |
| IHC | 1/100-1/500 |
![]() |
SLC25A25 Antibody (N-term) (Cat. #P32533) western blot analysis in U-937 cell line and rat cerebellum tissue lysates (35ug/lane).This demonstrates the SLC25A25 antibody detected the SLC25A25 protein (arrow). |
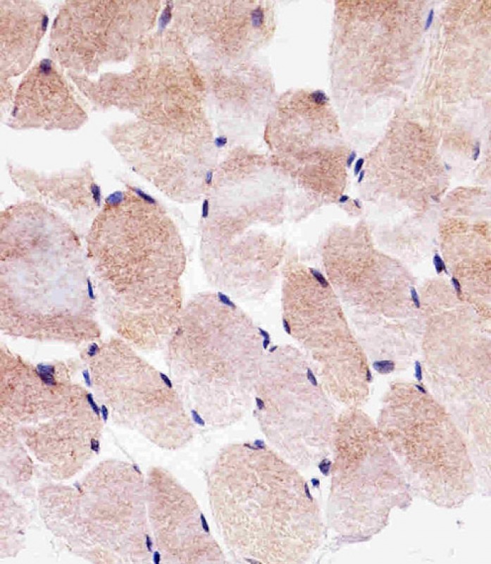
![]() |
Immunohistochemical analysis of paraffin-embedded H. skeletal muscle section using SLC25A25 Antibody (N-term)(Cat#P32533). P32533 was diluted at 1:25 dilution. A undiluted biotinylated goat polyvalent antibody was used as the secondary, followed by DAB staining. |
本公司的所有产品仅用于科学研究或者工业应用等非医疗目的,不可用于人类或动物的临床诊断或治疗,非药用,非食用。
暂无评论
本公司的所有产品仅用于科学研究或者工业应用等非医疗目的,不可用于人类或动物的临床诊断或治疗,非药用,非食用。
中文


发表回复