别名:FATP; FATP1; ACSVL5应用:IHC
反应种属:Human
规格:50μl/100μl
| Description |
|---|
| The protein involved in translocation of long-chain fatty acids (LFCA) across the plasma membrane. The LFCA import appears to be hormone-regulated in a tissue-specific manner. In adipocytes, but not myocytes, insulin induces a rapid translocation of FATP1 from intracellular compartments to the plasma membrane, paralleled by increased LFCA uptake. Plays a pivotal role in regulating available LFCA substrates from exogenous sources in tissues undergoing high levels of beta-oxidation or triglyceride synthesis. May be involved in regulation of cholesterol metabolism. Has acyl-CoA ligase activity for long-chain and very-long-chain fatty acids .Highest levels of expression are detected in muscle and adipose tissue small, intermediate levels in small intestine, and barely detectable in liver. |
| Specification | |
|---|---|
| Aliases | FATP; FATP1; ACSVL5 |
| Swissprot | Q6PCB7 |
| Host/Isotype | Rabbit IgG |
| Storage | Store at 4°C short term. Aliquot and store at -20°C long term. Avoid freeze/thaw cycles. |
| Species Reactivity | Human |
| Immunogen | Synthetic peptide of human SLC27A1 |
| Formulation | pH7.4 PBS, 0.05% NaN3, 40% Glycerol |
| Application | |
|---|---|
| IHC | 1/50-1/200 |
| ELISA | 1/2000-1/5000 |
![]() |
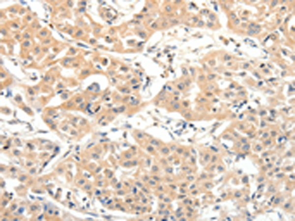
The image is immunohistochemistry of paraffin-embedded Human liver cancer tissue using P04458(SLC27A1 Antibody) at dilution 1/40. (Original magnification: ×200) |
![]() |
The image is immunohistochemistry of paraffin-embedded Human lung cancer tissue using P04458(SLC27A1 Antibody) at dilution 1/40. (Original magnification: ×200) |
本公司的所有产品仅用于科学研究或者工业应用等非医疗目的,不可用于人类或动物的临床诊断或治疗,非药用,非食用。
暂无评论
本公司的所有产品仅用于科学研究或者工业应用等非医疗目的,不可用于人类或动物的临床诊断或治疗,非药用,非食用。
中文


发表回复