别名:GLUT10, GLUT11, SLC2A11-a, SLC2A11-c应用:IHC
反应种属:Human
规格:50μl/100μl
| Description |
|---|
| Solute carrier family 2, facilitated glucose transporter member 11 (SLC2A11) also known as glucose transporter type 10/11 (GLUT-10/11) is a protein that in humans is encoded by the SLC2A11 gene. SLC2A11 belongs to a family of plasma membrane proteins that mediate transport of sugars across the membrane by facilitative diffusion. |
| Specification | |
|---|---|
| Aliases | GLUT10, GLUT11, SLC2A11-a, SLC2A11-c |
| Swissprot | Q9BYW1 |
| Host/Isotype | Rabbit IgG |
| Storage | Store at 4°C short term. Aliquot and store at -20°C long term. Avoid freeze/thaw cycles. |
| Species Reactivity | Human |
| Immunogen | Synthetic peptide of human SLC2A11 |
| Formulation | pH7.4 PBS, 0.05% NaN3, 40% Glycerol |
| Application | |
|---|---|
| IHC | 1/100-1/300 |
| ELISA | 1/2000-1/10000 |
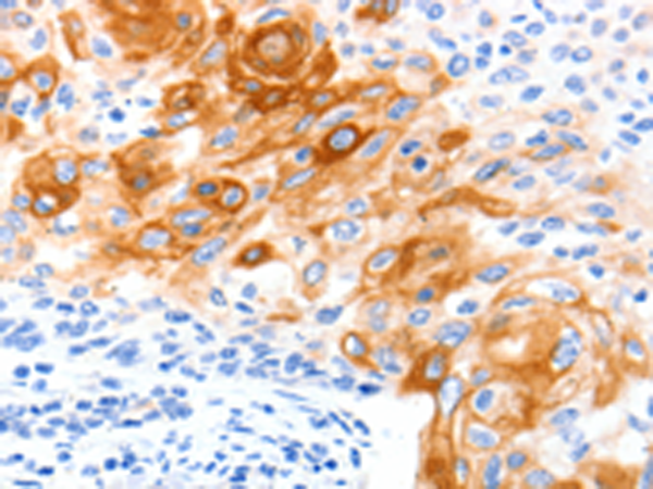
![]() |
The image is immunohistochemistry of paraffin-embedded Human lung cancer tissue using P03997(SLC2A11 Antibody) at dilution 1/140. (Original magnification: ×200) |
![]() |
The image is immunohistochemistry of paraffin-embedded Human cervical cancer tissue using P03997(SLC2A11 Antibody) at dilution 1/140. (Original magnification: ×200) |
本公司的所有产品仅用于科学研究或者工业应用等非医疗目的,不可用于人类或动物的临床诊断或治疗,非药用,非食用。
暂无评论
本公司的所有产品仅用于科学研究或者工业应用等非医疗目的,不可用于人类或动物的临床诊断或治疗,非药用,非食用。
中文


发表回复