别名:GLUT6; GLUT9; HSA011372应用:WB,IHC
反应种属:Human
规格:50μl/100μl
| Description |
|---|
| Members of the Glut family may enhance the metabolic activity of tumor cells. Glut6 is part of the third out of three classes of Gluts. Glut6 is mainly expressed in the brain, spleen and peripheral leukocytes. It appears to be regulated by subcellular redistribution, because it is targeted to intracellular compartments by di-leucine motifs, recycling itself in a Dynamin-dependent manner. |
| Specification | |
|---|---|
| Aliases | GLUT6; GLUT9; HSA011372 |
| Swissprot | Q9UGQ3 |
| WB Predicted band size | 54 kDa |
| Host/Isotype | Rabbit IgG |
| Storage | Store at 4°C short term. Aliquot and store at -20°C long term. Avoid freeze/thaw cycles. |
| Species Reactivity | Human |
| Immunogen | Synthetic peptide of human SLC2A6 |
| Formulation | pH7.4 PBS, 0.05% NaN3, 40% Glycerol |
| Application | |
|---|---|
| WB | 1/200-1/1000 |
| IHC | 1/25-1/100 |
| ELISA | 1/5000-1/10000 |
![]() |
Gel: 8%SDS-PAGE, Lysate: 40 μg, Lane: Human fetal liver tissue, Primary antibody: P05662(SLC2A6 Antibody) at dilution 1/350, Secondary antibody: Goat anti rabbit IgG at 1/8000 dilution, Exposure time: 1 minute |
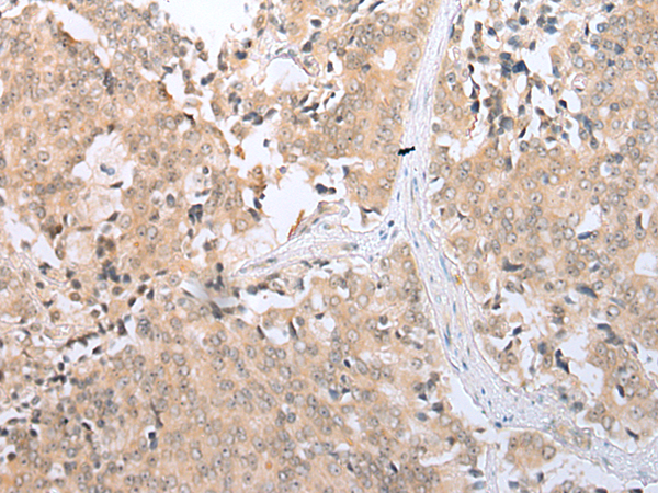
![]() |
The image is immunohistochemistry of paraffin-embedded Human prostate cancer tissue using P05662(SLC2A6 Antibody) at dilution 1/25. (Original magnification: ×200) |
本公司的所有产品仅用于科学研究或者工业应用等非医疗目的,不可用于人类或动物的临床诊断或治疗,非药用,非食用。
暂无评论
本公司的所有产品仅用于科学研究或者工业应用等非医疗目的,不可用于人类或动物的临床诊断或治疗,非药用,非食用。
中文


发表回复