别名:AXER; UGTREL1应用:IHC
反应种属:Human, Mouse, Rat
规格:50μl/100μl
| Description |
|---|
| This gene encodes a nucleotide sugar transporter which is a member of solute carrier family 35. The transporters in this family are highly conserved hydrophobic proteins with multiple transmembrane domains. Alternative splicing results in multiple transcript variants encoding different isoforms. |
| Specification | |
|---|---|
| Aliases | AXER; UGTREL1 |
| Swissprot | P78383 |
| Host/Isotype | Rabbit IgG |
| Storage | Store at 4°C short term. Aliquot and store at -20°C long term. Avoid freeze/thaw cycles. |
| Species Reactivity | Human, Mouse, Rat |
| Immunogen | Synthetic peptide of human SLC35B1 |
| Formulation | pH7.4 PBS, 0.05% NaN3, 40% Glycerol |
| Application | |
|---|---|
| IHC | 1/50-1/200 |
| ELISA | 1/5000-1/10000 |
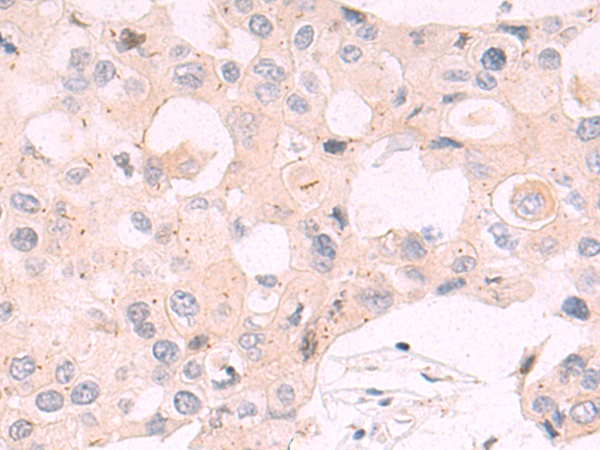
![]() |
The image is immunohistochemistry of paraffin-embedded Human esophagus cancer tissue using P06913(SLC35B1 Antibody) at dilution 1/60. (Original magnification: ×200) |
![]() |
The image is immunohistochemistry of paraffin-embedded Human breast cancer tissue using P06913(SLC35B1 Antibody) at dilution 1/60. (Original magnification: ×200) |
本公司的所有产品仅用于科学研究或者工业应用等非医疗目的,不可用于人类或动物的临床诊断或治疗,非药用,非食用。
暂无评论
本公司的所有产品仅用于科学研究或者工业应用等非医疗目的,不可用于人类或动物的临床诊断或治疗,非药用,非食用。
中文


发表回复