别名:G6PT1; G6PT2; G6PT3; GSD1b; GSD1c; GSD1d; TRG19; TRG-19; PRO0685应用:WB,IHC
反应种属:Human, Mouse
规格:50μl/100μl
| Description |
|---|
| This gene regulates glucose-6-phosphate transport from the cytoplasm to the lumen of the endoplasmic reticulum, in order to maintain glucose homeostasis. It also plays a role in ATP-mediated calcium sequestration in the lumen of the endoplasmic reticulum. Mutations in this gene have been associated with various forms of glycogen storage disease. Alternative splicing in this gene results in multiple transcript variants. |
| Specification | |
|---|---|
| Aliases | G6PT1; G6PT2; G6PT3; GSD1b; GSD1c; GSD1d; TRG19; TRG-19; PRO0685 |
| Swissprot | O43826 |
| WB Predicted band size | 46 kDa |
| Host/Isotype | Rabbit IgG |
| Storage | Store at 4°C short term. Aliquot and store at -20°C long term. Avoid freeze/thaw cycles. |
| Species Reactivity | Human, Mouse |
| Immunogen | Synthetic peptide of human SLC37A4 |
| Formulation | pH7.4 PBS, 0.05% NaN3, 40% Glycerol |
| Application | |
|---|---|
| WB | 1/200-1/1000 |
| IHC | 1/20-1/100 |
| ELISA | 1/5000-1/10000 |
![]() |
Gel: 8%SDS-PAGE, Lysate: 40 μg, Lane: Mouse liver tissue lysate, Primary antibody: P13249(SLC37A4 Antibody) at dilution 1/200, Secondary antibody: Goat anti rabbit IgG at 1/8000 dilution, Exposure time: 1 minute |
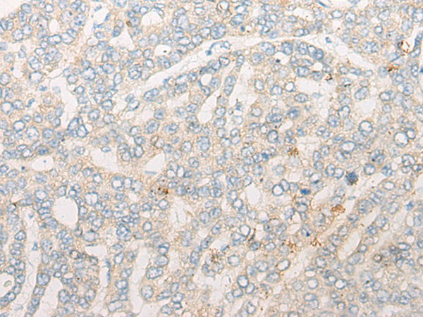
![]() |
The image is immunohistochemistry of paraffin-embedded Human liver cancer tissue using P13249(SLC37A4 Antibody) at dilution 1/20. (Original magnification: ×200) |
本公司的所有产品仅用于科学研究或者工业应用等非医疗目的,不可用于人类或动物的临床诊断或治疗,非药用,非食用。
暂无评论
本公司的所有产品仅用于科学研究或者工业应用等非医疗目的,不可用于人类或动物的临床诊断或治疗,非药用,非食用。
中文


发表回复