别名:KE4; HKE4; ZIP7; RING5; H2-KE4; D6S115E; D6S2244E应用:WB,IHC
反应种属:Human
规格:50μl/100μl
| Description |
|---|
| The protein encoded by this gene transports zinc from the Golgi and endoplasmic reticulum to the cytoplasm. This transport may be important for activation of tyrosine kinases, some of which could be involved in cancer progression. Therefore, modulation of the encoded protein could be useful as a therapeutic agent against cancer. Alternative splicing results in multiple transcript variants. |
| Specification | |
|---|---|
| Aliases | KE4; HKE4; ZIP7; RING5; H2-KE4; D6S115E; D6S2244E |
| Swissprot | Q92504 |
| WB Predicted band size | 50 kDa |
| Host/Isotype | Rabbit IgG |
| Storage | Store at 4°C short term. Aliquot and store at -20°C long term. Avoid freeze/thaw cycles. |
| Species Reactivity | Human |
| Immunogen | Synthetic peptide of human SLC39A7 |
| Formulation | pH7.4 PBS, 0.05% NaN3, 40% Glycerol |
| Application | |
|---|---|
| WB | 1/200-1/1000 |
| IHC | 1/25-1/100 |
| ELISA | 1/1000-1/2000 |
![]() |
Gel: 8%SDS-PAGE, Lysate: 40 μg, Lane 1-2: Huvec cells, 293T cells, Primary antibody: P05225(SLC39A7 Antibody) at dilution 1/200, Secondary antibody: Goat anti rabbit IgG at 1/8000 dilution, Exposure time: 20 seconds |
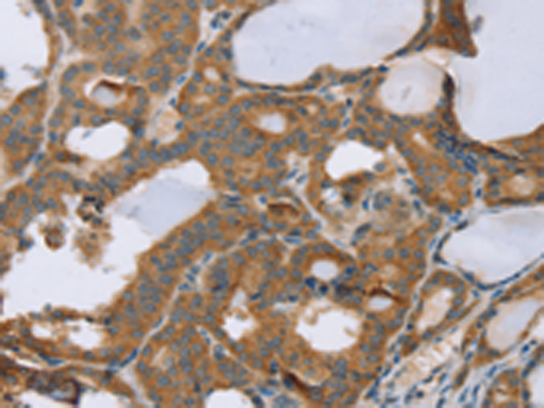
![]() |
The image is immunohistochemistry of paraffin-embedded Human thyroid cancer tissue using P05225(SLC39A7 Antibody) at dilution 1/40. (Original magnification: ×200) |
本公司的所有产品仅用于科学研究或者工业应用等非医疗目的,不可用于人类或动物的临床诊断或治疗,非药用,非食用。
暂无评论
本公司的所有产品仅用于科学研究或者工业应用等非医疗目的,不可用于人类或动物的临床诊断或治疗,非药用,非食用。
中文


发表回复