别名:PAR2; RFT1; RBFVD; RFVT1; hRFT1; GPCR42; GPR172B应用:IHC
反应种属:Human
规格:50μl/100μl
| Description |
|---|
| Biological redox reactions require electron donors and acceptor. Vitamin B2 is the source for the flavin in flavin adenine dinucleotide (FAD) and flavin mononucleotide (FMN) which are common redox reagents. This gene encodes a member of the riboflavin (vitamin B2) transporter family. Haploinsufficiency of this protein can cause maternal riboflavin deficiency. Multiple alternatively spliced variants, encoding the same protein, have been identified. |
| Specification | |
|---|---|
| Aliases | PAR2; RFT1; RBFVD; RFVT1; hRFT1; GPCR42; GPR172B |
| Swissprot | Q9NWF4 |
| Host/Isotype | Rabbit IgG |
| Storage | Store at 4°C short term. Aliquot and store at -20°C long term. Avoid freeze/thaw cycles. |
| Species Reactivity | Human |
| Immunogen | Synthetic peptide of human SLC52A1 |
| Formulation | pH7.4 PBS, 0.05% NaN3, 40% Glycerol |
| Application | |
|---|---|
| IHC | 1/50-1/200 |
| ELISA | 1/2000-1/5000 |
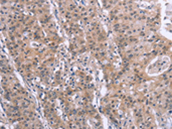
![]() |
The image is immunohistochemistry of paraffin-embedded Human thyroid cancer tissue using P04915(SLC52A1 Antibody) at dilution 1/40. (Original magnification: ×200) |
![]() |
The image is immunohistochemistry of paraffin-embedded Human gastric cancer tissue using P04915(SLC52A1 Antibody) at dilution 1/40. (Original magnification: ×200) |
本公司的所有产品仅用于科学研究或者工业应用等非医疗目的,不可用于人类或动物的临床诊断或治疗,非药用,非食用。
暂无评论
本公司的所有产品仅用于科学研究或者工业应用等非医疗目的,不可用于人类或动物的临床诊断或治疗,非药用,非食用。
中文


发表回复